电脑桌面
添加蜗牛文库到电脑桌面
安装后可以在桌面快捷访问

急性白血病检验.pptVIP免费

急性白血病检验.ppt急性白血病检验.ppt急性白血病检验.ppt急性白血病检验.ppt急性白血病检验.ppt
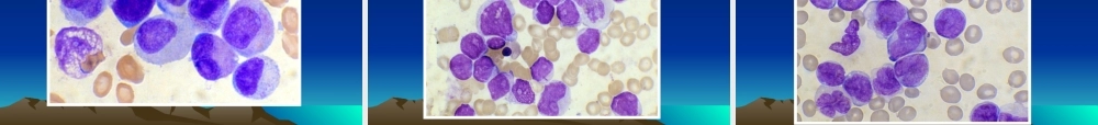
急性白血病检验一、白血病概况一、白血病概况•(一)定义是源于造血干细胞异常的克隆性疾病,是一组高度异质性的恶性血液病,其特点为白血病细胞异常增生、分化成熟障碍,并伴有凋亡受阻,而正常造血功能受抑制,临床上出现不同程度的贫血、出血、感染、浸润表现。急慢性白血病一般比较急慢性白血病一般比较类型病变细胞自然病程AL分化差,以原始、早期幼稚为主半年以内CL分化较好,以较成熟的细胞为主数年白血病细胞的分布及作用•主要分布骨髓外周血肝脾淋巴结抑制造血抑制造血功能缺陷功能缺陷破坏结构破坏结构(二)临床表现(二)临床表现•1.贫血:程度不一,多呈进行性加重2.出血:部位多样,严重出血常致死亡3.感染:常表现为发热,严重感染导致死亡4.浸润:部位及表现多样(三)发病因素(三)发病因素1.病毒感染:HTLV-1、EB2.物理因素:γ-射线辐射3.化学因素:苯、氯霉素4.遗传因素:Downs综合症5.其他不明因素二、急性白血病分型二、急性白血病分型•(一)细胞形态学分型外周血细胞形态学骨髓细胞形态学血细胞化学染色1.FAB分类法:1976年制定,1985年修改急性淋巴细胞白血病(acutelymphocyticleukemia,ALL)急淋:L1——L3共3型急性非淋巴细胞白血病(acutenon-lymphocyticleukemia,ANLL)急性髓细胞白血病(acutemyeloblasticleukemia,AML)急非淋:M0——M7共8型2.我国分类法:1980年制定,1986年修改•基本与FAB相同•将M2分为M2a和M2b•将M3分为M3a和M3b•将M4分为M4a、M4b、M4c、M4EO(1)急性淋巴细胞白血病基本依据:原始+幼稚淋巴细胞≥30%。依细胞大小,核染色质粗细,核仁及胞质形态划分为三个亚型:L1、L2、L3型。L1:以小淋巴细胞为主,大小均一,核染色质粗,核仁不清,胞质少L2:以大淋巴细胞为主,大小不一,核染色质疏松,核仁较大,胞质多L3:以大淋巴细胞为主,大小均一,核染色质细,胞质嗜碱深蓝,多空泡M3:急性早幼粒细胞白血病(2)急性髓细胞白血病•M0:急性髓细胞白血病微分化型•(1991年FAB确定)原始细胞≥30%形态学类似ALL-L2无T、B淋巴系标记至少表达一种髓系抗原MPO阳性M1:急性髓细胞白血病未成熟型M2:急性髓细胞白血病部分成熟型•M2a:原粒30~89%(NEC)•早幼粒及以下阶段粒细胞>10%,单核细胞<20%M2:急性髓细胞白血病部分成熟型M2b:异常中幼粒(核幼质老)≥30%(NEC)M3:急性早幼粒细胞白血病异常早幼粒≥30%,M3a(粗颗粒)M3:急性早幼粒细胞白血病异常早幼粒≥30%,M3b(...

1、当您付费下载文档后,您只拥有了使用权限,并不意味着购买了版权,文档只能用于自身使用,不得用于其他商业用途(如 [转卖]进行直接盈利或[编辑后售卖]进行间接盈利)。
2、本站所有内容均由合作方或网友上传,本站不对文档的完整性、权威性及其观点立场正确性做任何保证或承诺!文档内容仅供研究参考,付费前请自行鉴别。
3、如文档内容存在违规,或者侵犯商业秘密、侵犯著作权等,请点击“违规举报”。

碎片内容

蜗牛文库的最新文档

二年级数学下册其中检测卷二年级数学下册其中检测卷附答案#期中测试卷.pdf
10.00金币
0下载
二年级数学下册期末质检卷(苏教版)二年级数学下册期末质检卷(苏教版)#期末复习 #期末测试卷 #二年级数学 #二年级数学下册#关注我持续更新小学知识.pdf
10.00金币
0下载
二年级数学下册期末混合运算专项练习二年级数学下册期末混合运算专项练习#二年级#二年级数学下册#关注我持续更新小学知识 #知识分享 #家长收藏孩子受益.pdf
10.00金币
1下载
二年级数学下册年月日三类周期问题解题方法二年级数学下册年月日三类周期问题解题方法#二年级#二年级数学下册#知识分享 #关注我持续更新小学知识 #家长收藏孩子受益.pdf
10.00金币
0下载
二年级数学下册解决问题专项训练二年级数学下册解决问题专项训练#专项训练#解决问题#二年级#二年级数学下册#知识分享.pdf
10.00金币
1下载
二年级数学下册还原问题二年级数学下册还原问题#二年级#二年级数学#关注我持续更新小学知识 #知识分享 #家长收藏孩子受益.pdf
10.00金币
1下载
二年级数学下册第六单元考试卷家长打印出来给孩子测试测试争取拿到高分!#小学二年级试卷分享 #二年级第六单考试数学 #第六单考试#二年级数学下册.pdf
10.00金币
0下载
二年级数学下册必背顺口溜口诀汇总二年级数学下册必背顺口溜口诀汇总#二年级#二年级数学下册 #知识分享 #家长收藏孩子受益 #关注我持续更新小学知识.pdf
10.00金币
0下载
二年级数学下册《重点难点思维题》两大问题解决技巧和方法巧算星期几解决周期问题还原问题强化思维训练老师精心整理家长可以打印出来给孩子练习#家长收藏孩子受益 #学霸秘籍 #思维训练 #二年级 #知识点总结.pdf
10.00金币
0下载
二年级数学下册 必背公式大全寒假提前背一背开学更轻松#二年级 #二年级数学 #二年级数学下册 #寒假充电计划 #公式.pdf
10.00金币
0下载
蜗牛文库+ 关注
实名认证
内容提供者

提供各种专业文档内容

确认删除?
QQ
  • QQ点击这里给我发消息
微信客服
  • 微信客服
回到顶部