电脑桌面
添加蜗牛文库到电脑桌面
安装后可以在桌面快捷访问

第三十四章 胃十二指肠疾病 第三节(二)胃肠道间质瘤(1).pptxVIP免费

第三十四章 胃十二指肠疾病 第三节(二)胃肠道间质瘤(1).pptx第三十四章 胃十二指肠疾病 第三节(二)胃肠道间质瘤(1).pptx第三十四章 胃十二指肠疾病 第三节(二)胃肠道间质瘤(1).pptx第三十四章 胃十二指肠疾病 第三节(二)胃肠道间质瘤(1).pptx
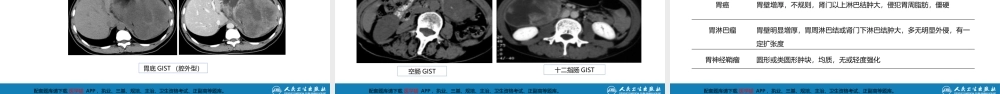
配套题库请下载医学猫APP,执业、三基、规培、主治、卫生资格考试、正副高等题库。作者:刘玉村单位:北京大学医学部胃十二指肠疾病第三十四章配套题库请下载医学猫APP,执业、三基、规培、主治、卫生资格考试、正副高等题库。重点难点熟悉了解掌握胃肠间质瘤的临床表现和治疗原则胃肠间质瘤的病因和诊断方法胃肠间质瘤的靶向治疗配套题库请下载医学猫APP,执业、三基、规培、主治、卫生资格考试、正副高等题库。第三节(二)胃肠道间质瘤配套题库请下载医学猫APP,执业、三基、规培、主治、卫生资格考试、正副高等题库。名称的变革胃肠道间叶细胞又称间充质细胞,源于中胚层,广泛存在于胃肠道管壁的各层组织中,包括黏膜层、黏膜下层、肌层、浆膜层及其系膜间叶细胞有多项分化潜能,可以进一步分化为纤维母细胞、肌纤维母细胞、脂肪细胞、血管内皮细胞和滑膜细胞等1940—1960年,由于医学发展的局限性,种类繁多、形态复杂的胃肠道间叶来源的肿瘤被误认为平滑肌瘤或神经源性肿瘤胃肠道间质瘤的概念外科学(第9版)配套题库请下载医学猫APP,执业、三基、规培、主治、卫生资格考试、正副高等题库。胃肠道间质瘤的概念名称的变革1970年,电镜技术的应用发现只有很少的此类肿瘤具有平滑肌分化1983年,Mazur和Clark利用电镜和免疫组化技术发现,这组肿瘤的抗原表达和超微结构既无平滑肌分化又无神经源性分化,而是一种非定向分化的间质瘤,于是首先将其命名为“胃间质瘤-GastricStromalTumours“外科学(第9版)配套题库请下载医学猫APP,执业、三基、规培、主治、卫生资格考试、正副高等题库。胃肠道间质瘤的概念HirotaS,etal.Gain-of-functionmutationsofc-kitinhumangastrointestinalstromaltumors.Science,1998,279(5350):577-580.名称的变革由于缺乏绝对的诊断标志,与雪旺细胞瘤、平滑肌肉瘤等胃肠道间质性肿瘤相混淆1998年,Hirota等通过分子生物学研究发现胃肠道间质瘤特异性表达c-kit酪氨酸激酶受体,可用c-kit基因编码KIT蛋白(CD117)单克隆抗体检测,为诊断GIST确定了标准外科学(第9版)配套题库请下载医学猫APP,执业、三基、规培、主治、卫生资格考试、正副高等题库。胃肠道间质瘤的概念定义是一组独立起源于胃肠道间质干细胞(Cajal细胞)的肿瘤,由未分化或多能的梭形或上皮样细胞组成,免疫组化通常过表达CD117(c-KIT基因编码KIT蛋白的抗原性抗体)和DOG-1,属于消化道间叶性肿瘤外科学(第9版)配套题...

1、当您付费下载文档后,您只拥有了使用权限,并不意味着购买了版权,文档只能用于自身使用,不得用于其他商业用途(如 [转卖]进行直接盈利或[编辑后售卖]进行间接盈利)。
2、本站所有内容均由合作方或网友上传,本站不对文档的完整性、权威性及其观点立场正确性做任何保证或承诺!文档内容仅供研究参考,付费前请自行鉴别。
3、如文档内容存在违规,或者侵犯商业秘密、侵犯著作权等,请点击“违规举报”。

碎片内容

蜗牛文库的最新文档

二年级数学下册其中检测卷二年级数学下册其中检测卷附答案#期中测试卷.pdf
10.00金币
0下载
二年级数学下册期末质检卷(苏教版)二年级数学下册期末质检卷(苏教版)#期末复习 #期末测试卷 #二年级数学 #二年级数学下册#关注我持续更新小学知识.pdf
10.00金币
0下载
二年级数学下册期末混合运算专项练习二年级数学下册期末混合运算专项练习#二年级#二年级数学下册#关注我持续更新小学知识 #知识分享 #家长收藏孩子受益.pdf
10.00金币
1下载
二年级数学下册年月日三类周期问题解题方法二年级数学下册年月日三类周期问题解题方法#二年级#二年级数学下册#知识分享 #关注我持续更新小学知识 #家长收藏孩子受益.pdf
10.00金币
0下载
二年级数学下册解决问题专项训练二年级数学下册解决问题专项训练#专项训练#解决问题#二年级#二年级数学下册#知识分享.pdf
10.00金币
1下载
二年级数学下册还原问题二年级数学下册还原问题#二年级#二年级数学#关注我持续更新小学知识 #知识分享 #家长收藏孩子受益.pdf
10.00金币
1下载
二年级数学下册第六单元考试卷家长打印出来给孩子测试测试争取拿到高分!#小学二年级试卷分享 #二年级第六单考试数学 #第六单考试#二年级数学下册.pdf
10.00金币
0下载
二年级数学下册必背顺口溜口诀汇总二年级数学下册必背顺口溜口诀汇总#二年级#二年级数学下册 #知识分享 #家长收藏孩子受益 #关注我持续更新小学知识.pdf
10.00金币
0下载
二年级数学下册《重点难点思维题》两大问题解决技巧和方法巧算星期几解决周期问题还原问题强化思维训练老师精心整理家长可以打印出来给孩子练习#家长收藏孩子受益 #学霸秘籍 #思维训练 #二年级 #知识点总结.pdf
10.00金币
0下载
二年级数学下册 必背公式大全寒假提前背一背开学更轻松#二年级 #二年级数学 #二年级数学下册 #寒假充电计划 #公式.pdf
10.00金币
0下载
蜗牛文库+ 关注
实名认证
内容提供者

提供各种专业文档内容

确认删除?
QQ
  • QQ点击这里给我发消息
微信客服
  • 微信客服
回到顶部