电脑桌面
添加蜗牛文库到电脑桌面
安装后可以在桌面快捷访问

MRI图像-脑-01.pptxVIP免费

MRI图像-脑-01.pptxMRI图像-脑-01.pptxMRI图像-脑-01.pptxMRI图像-脑-01.pptxMRI图像-脑-01.pptx
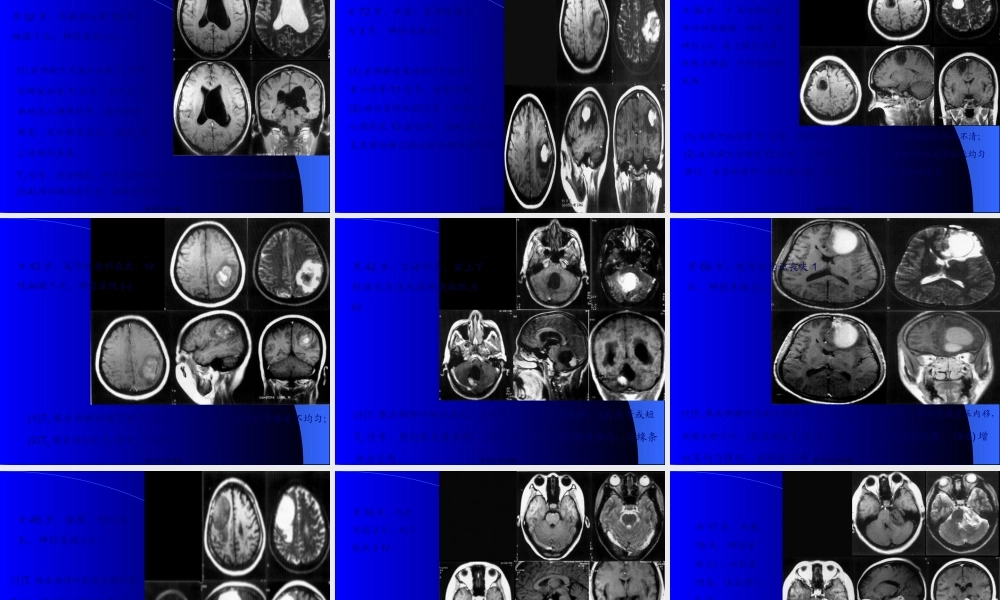
延髓颈髓蛛网膜下腔左侧椎动脉硬膜外脂肪第一页,共三十五页。女39岁,双上肢麻木,肉跳手变细2年。双上肢肌萎缩,肌力III-IV,颈5以下痛觉减低。T1小脑扁桃体及延髓下疝至颈椎管内颈3-胸4脊髓中央管扩张;FLASH(500/45/35)枕大池颅内外段消失,延髓中央管闭塞,颈1-2后纵韧带增厚钙化第二页,共三十五页。男55岁,左顶受击后头痛半月,以左侧面为主,无呕吐。体征:左侧面部角觉敏感。T1(360/11)左侧顶叶颅板下类梭形短T1病灶,皮质受压,脑室系统无改变,T2(2200/120)上述病灶呈长、短混杂改变。第三页,共三十五页。男59岁,急起双下肢无力三天,1月前有轻微头部外伤史。伸舌偏右,双下肢肌力IV,左侧上肢张力增高,左侧巴氏征(+)。T1(360/11)两侧额叶脑外大片长梭形短T1病灶,局部皮质受压,大脑纵短T1病灶;T2(2200/120)上述病灶呈长T2及混杂T2改变;T1(320/15)上述病灶呈短T1,两侧脑室、前角受压,变形,下移。第四页,共三十五页。女58岁,反复头痛伴双眼视力下降1年,左肢体无力三天。左侧中枢性面瘫,左上肢肌力III-IV。(1,2)T1(360/11)右侧额叶顶见大片低信号,脑组织介面不清;(3,4)T2(3300/120)上述病灶呈长T2信号;(5,6)增强T1(320/15)上述病灶呈不规那么脑回样、片状强化。第五页,共三十五页。男43岁,急起右侧肢体无力,言语不清1小时。神志清,右侧肢体肌力IV。(1,2)T1(360/11)左侧额顶颞叶顶见大片稍长T1信号,其间有小块状T1改变,占位效应显著,右侧脑室体旁小点状长T1信号;(3,4)T2(2200/120)上述病灶呈长T2信号,累及皮层。第六页,共三十五页。男58岁,急性头痛,言语不清2天。1年来反复发作;失语,伸舌偏右,右半身肌力差。(1,2)T1左颞枕叶大片长T1信号,左侧基底节点状长T1信号;信号;(3,4,5)T2像上述病灶呈长T2信号;诊断:左颞枕叶脑堵塞(陈旧性);左侧基底区腔隙性脑堵塞(病灶新)。第八页,共三十五页。男57岁,急起右侧肢体乏力伴意识不清12天。睁眼昏迷,右侧肢体肌力0。(1)T1左侧大脑半球有大片长T1信号,其中可见斑点状短T1信号,左侧面脑室轻度受压;(2)T2像上述病灶呈混杂T2信号;由于位于左大脑动脉分布区,堵塞后出血多为瘀斑状,无血肿中心,含铁血黄素沉着呈不规那么的点状。第九页,共三十五页。女69岁,渐起发呆半月,3天前言语不清、吞咽困难。神志欠清,右侧上下肢肌力差,病理反射(+)。(1,2)T1左侧颞叶有斑点状短T1信号及右侧基底区境界不清的稍长T1信号;(2)T2像上述病灶呈长T2信号;第十页...

1、当您付费下载文档后,您只拥有了使用权限,并不意味着购买了版权,文档只能用于自身使用,不得用于其他商业用途(如 [转卖]进行直接盈利或[编辑后售卖]进行间接盈利)。
2、本站所有内容均由合作方或网友上传,本站不对文档的完整性、权威性及其观点立场正确性做任何保证或承诺!文档内容仅供研究参考,付费前请自行鉴别。
3、如文档内容存在违规,或者侵犯商业秘密、侵犯著作权等,请点击“违规举报”。

碎片内容

蜗牛文库的最新文档

二年级数学下册其中检测卷二年级数学下册其中检测卷附答案#期中测试卷.pdf
10.00金币
0下载
二年级数学下册期末质检卷(苏教版)二年级数学下册期末质检卷(苏教版)#期末复习 #期末测试卷 #二年级数学 #二年级数学下册#关注我持续更新小学知识.pdf
10.00金币
0下载
二年级数学下册期末混合运算专项练习二年级数学下册期末混合运算专项练习#二年级#二年级数学下册#关注我持续更新小学知识 #知识分享 #家长收藏孩子受益.pdf
10.00金币
1下载
二年级数学下册年月日三类周期问题解题方法二年级数学下册年月日三类周期问题解题方法#二年级#二年级数学下册#知识分享 #关注我持续更新小学知识 #家长收藏孩子受益.pdf
10.00金币
0下载
二年级数学下册解决问题专项训练二年级数学下册解决问题专项训练#专项训练#解决问题#二年级#二年级数学下册#知识分享.pdf
10.00金币
1下载
二年级数学下册还原问题二年级数学下册还原问题#二年级#二年级数学#关注我持续更新小学知识 #知识分享 #家长收藏孩子受益.pdf
10.00金币
1下载
二年级数学下册第六单元考试卷家长打印出来给孩子测试测试争取拿到高分!#小学二年级试卷分享 #二年级第六单考试数学 #第六单考试#二年级数学下册.pdf
10.00金币
0下载
二年级数学下册必背顺口溜口诀汇总二年级数学下册必背顺口溜口诀汇总#二年级#二年级数学下册 #知识分享 #家长收藏孩子受益 #关注我持续更新小学知识.pdf
10.00金币
0下载
二年级数学下册《重点难点思维题》两大问题解决技巧和方法巧算星期几解决周期问题还原问题强化思维训练老师精心整理家长可以打印出来给孩子练习#家长收藏孩子受益 #学霸秘籍 #思维训练 #二年级 #知识点总结.pdf
10.00金币
0下载
二年级数学下册 必背公式大全寒假提前背一背开学更轻松#二年级 #二年级数学 #二年级数学下册 #寒假充电计划 #公式.pdf
10.00金币
0下载
蜗牛文库+ 关注
实名认证
内容提供者

提供各种专业文档内容

确认删除?
QQ
  • QQ点击这里给我发消息
微信客服
  • 微信客服
回到顶部