电脑桌面
添加蜗牛文库到电脑桌面
安装后可以在桌面快捷访问

2022年医学专题—儿童股骨干骨折.pptxVIP免费

2022年医学专题—儿童股骨干骨折.pptx2022年医学专题—儿童股骨干骨折.pptx2022年医学专题—儿童股骨干骨折.pptx2022年医学专题—儿童股骨干骨折.pptx
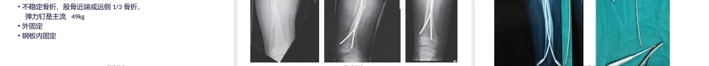
儿童(értóng)股骨干骨折第一页,共三十页。概述(ɡàishù)•发病率:1.6%•男性儿童多见•发病年龄双峰分布,初学走路儿童(单纯跌倒(diēdǎo))和青少年早期(高能量损伤)第二页,共三十页。受伤(shòushāng)机制•跌落(diēluò)伤•重物砸伤•车祸•虐待第三页,共三十页。诊断(zhěnduàn)•明确(míngquè)的受伤机制•大腿的肿胀、畸形,局部疼痛•对于多发伤或头外伤、不能行走或严重肢体功能障碍的患儿,诊断较困难•单纯股骨干骨折,血细胞比容很少低于30%第四页,共三十页。X线表现(biǎoxiàn)•应包括股骨(gǔgǔ)全长、髋关节和膝关节•骨盆正位片•合并股骨转子间骨折、股骨颈骨折或股骨近端骨骺损伤•也可合并膝关节骨骺损伤、胫骨骨折•排除病理性骨折第五页,共三十页。第六页,共三十页。分型•横行(héngxíng)、螺旋形、短斜形•粉碎性或非粉碎性•闭合性骨折或开放性骨折•大部分为单纯的横行、闭合性、非粉碎性骨折第七页,共三十页。骨折部位(bùwèi)不同移位形式不同第八页,共三十页。治疗(zhìliáo)•年龄因素•受伤机制•患儿体重•损伤(sǔnshāng)类型•骨折类型第九页,共三十页。新生儿至6个月•骨膜较厚和骨骼重塑能力较强,很好需要严格的复位和外固定•单纯应用(yìngyòng)Pavlic吊带或夹板固定•可接受的复位标准为:内外翻成角<30°,前后成角<30°,旋转移位<10°,短缩<2cm•如果不能满足此复位标准需要行髋人字石膏固定•极少使用牵引第十页,共三十页。第十一页,共三十页。第十二页,共三十页。第十三页,共三十页。学龄前儿童(értóng)6个月-5岁•短缩在2cm以内的单纯股骨骨折,早期人字石膏固定•低能量损伤造成的骨折,应用行走人字石膏•短缩大于2cm,或者明显不稳定(wěndìng),3-10皮肤牵引或骨牵引•外固定•弹力钉•钢板内固定第十四页,共三十页。第十五页,共三十页。注意事项•屈髋90°,外展30°,膝关节屈曲60°有利于维持下肢长度及骨折复位•石膏外翻塑形•腘窝处棉垫保护,防止腘窝血管受压•下肢外旋15°固定•X线摄片,确保(quèbǎo)骨折复位•24小时内密切观察末梢血运情况,预防骨筋膜室综合症第十六页,共三十页。第十七页,共三十页。第十八页,共三十页。行走(xíngzǒu)人字石膏第十九页,共三十页。5-11岁患儿•较多的治疗方法•无移位或轻度(qīnɡdù)移位,人字形石膏固定•不稳定或粉碎性骨折,牵引•不稳定骨折、股骨近端或远侧1/3骨折,弹力钉是主流49kg...

1、当您付费下载文档后,您只拥有了使用权限,并不意味着购买了版权,文档只能用于自身使用,不得用于其他商业用途(如 [转卖]进行直接盈利或[编辑后售卖]进行间接盈利)。
2、本站所有内容均由合作方或网友上传,本站不对文档的完整性、权威性及其观点立场正确性做任何保证或承诺!文档内容仅供研究参考,付费前请自行鉴别。
3、如文档内容存在违规,或者侵犯商业秘密、侵犯著作权等,请点击“违规举报”。

碎片内容

蜗牛文库的最新文档

二年级数学下册其中检测卷二年级数学下册其中检测卷附答案#期中测试卷.pdf
10.00金币
0下载
二年级数学下册期末质检卷(苏教版)二年级数学下册期末质检卷(苏教版)#期末复习 #期末测试卷 #二年级数学 #二年级数学下册#关注我持续更新小学知识.pdf
10.00金币
0下载
二年级数学下册期末混合运算专项练习二年级数学下册期末混合运算专项练习#二年级#二年级数学下册#关注我持续更新小学知识 #知识分享 #家长收藏孩子受益.pdf
10.00金币
1下载
二年级数学下册年月日三类周期问题解题方法二年级数学下册年月日三类周期问题解题方法#二年级#二年级数学下册#知识分享 #关注我持续更新小学知识 #家长收藏孩子受益.pdf
10.00金币
0下载
二年级数学下册解决问题专项训练二年级数学下册解决问题专项训练#专项训练#解决问题#二年级#二年级数学下册#知识分享.pdf
10.00金币
1下载
二年级数学下册还原问题二年级数学下册还原问题#二年级#二年级数学#关注我持续更新小学知识 #知识分享 #家长收藏孩子受益.pdf
10.00金币
1下载
二年级数学下册第六单元考试卷家长打印出来给孩子测试测试争取拿到高分!#小学二年级试卷分享 #二年级第六单考试数学 #第六单考试#二年级数学下册.pdf
10.00金币
0下载
二年级数学下册必背顺口溜口诀汇总二年级数学下册必背顺口溜口诀汇总#二年级#二年级数学下册 #知识分享 #家长收藏孩子受益 #关注我持续更新小学知识.pdf
10.00金币
0下载
二年级数学下册《重点难点思维题》两大问题解决技巧和方法巧算星期几解决周期问题还原问题强化思维训练老师精心整理家长可以打印出来给孩子练习#家长收藏孩子受益 #学霸秘籍 #思维训练 #二年级 #知识点总结.pdf
10.00金币
0下载
二年级数学下册 必背公式大全寒假提前背一背开学更轻松#二年级 #二年级数学 #二年级数学下册 #寒假充电计划 #公式.pdf
10.00金币
0下载
蜗牛文库+ 关注
实名认证
内容提供者

提供各种专业文档内容

确认删除?
QQ
  • QQ点击这里给我发消息
微信客服
  • 微信客服
回到顶部