电脑桌面
添加蜗牛文库到电脑桌面
安装后可以在桌面快捷访问

2022年医学专题—儿童康复的相关检.pptxVIP免费

2022年医学专题—儿童康复的相关检.pptx2022年医学专题—儿童康复的相关检.pptx2022年医学专题—儿童康复的相关检.pptx2022年医学专题—儿童康复的相关检.pptx2022年医学专题—儿童康复的相关检.pptx
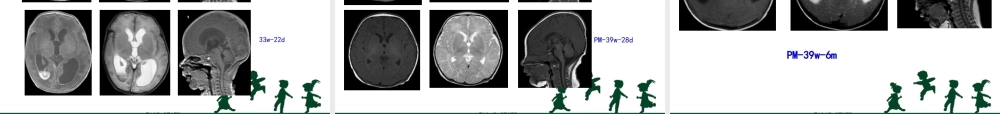
儿童康复(kāngfù)的相关检查第一页,共四十四页。相关检查•1、CT•2、MRI•3、脑电图•4、听觉诱发电位•5、视觉(shìjué)诱发电位•6、肌电图•7、表面肌电图第二页,共四十四页。CT•影像学检查:直观显示(xiǎnshì)脑结构的异常改变•部位:头颅、脊柱、颞部•检查需要睡眠第三页,共四十四页。CT优点(yōudiǎn)•快速(kuàisù)、安全、无创地显示脑的形态改变•对新生儿、早期脑损伤患儿有临床意义•对脑出血、钙化、骨化具有可靠的诊断意义第四页,共四十四页。CT缺点(quēdiǎn)•具有(jùyǒu)辐射性,有一定的损害•分辨率较MRI差第五页,共四十四页。轻度(qīnɡdù):散在或局限性低密度改变,在2个脑叶以内6第六页,共四十四页。中度:低密度改变超过(chāoguò)2个脑叶,灰白质对比模糊7中度(zhōndù)ɡ不伴出血中度(zhōndù)ɡ伴出血第七页,共四十四页。•重度:弥漫性低密度改变(gǎibiàn),灰白质界限失,•脑室受压。中、重度HIE常伴ICH。8颅内出血(chūxiě)第八页,共四十四页。CT扫描(sǎomiáo)弥漫性脑水肿室管膜下出血(箭头)左额叶局限性水肿(shuǐzhǒng)(箭头)第九页,共四十四页。CT扫描(sǎomiáo)脑室内(shìnèi)积血(箭头)额叶白质水肿大脑弥漫性水肿蛛网膜下腔出血(chūxiě)(箭头)第十页,共四十四页。MRI优点(yōudiǎn)•良好的软组织对比、高分辨率、无创伤、无痛、无放射、可以多方位扫描(sǎomiáo),能够直观显示颅脑的形态学改变。•对白质的发育过程、脑白质病变有诊断意义•能对血管病变诊断第十一页,共四十四页。MRI缺点(quēdiǎn)•成像速度慢,运动伪影对,对婴幼儿睡眠要求高•钙化(gàihuà)灶易漏诊第十二页,共四十四页。头颅(tóulú)MRI脑室系统较小呈裂隙状,灰白质分界清楚,呈高低信号相间的柱状影,内囊(nèinán)ɡ后肢的后部及丘脑腹外侧均呈低信号正常(zhèngcháng)足月新生儿基底节层面T2WI表现第十三页,共四十四页。头颅(tóulú)MRI轻度(qīndù)ɡHIE左顶叶(dǐnyè)ɡ局灶性水肿,T2WI信号增高,皮层变薄,灰白质分界欠清,而正常灰白质的高低相间的柱状影消失。第十四页,共四十四页。头颅(tóulú)MRI重度HIE(生后3d)T1WIT2WI双侧大脑皮层(dànǎo-pícéng)深部呈线条状高信号双侧弥漫性脑水肿,白质信号增高,灰质变薄,灰白质分界(fēnjiè)消失第十五页,共四十四页。头颅(tóulú)MRI重度HIET2WIDWI左侧顶枕叶大面积脑梗死(箭头(jiàntóu)),呈楔形...

1、当您付费下载文档后,您只拥有了使用权限,并不意味着购买了版权,文档只能用于自身使用,不得用于其他商业用途(如 [转卖]进行直接盈利或[编辑后售卖]进行间接盈利)。
2、本站所有内容均由合作方或网友上传,本站不对文档的完整性、权威性及其观点立场正确性做任何保证或承诺!文档内容仅供研究参考,付费前请自行鉴别。
3、如文档内容存在违规,或者侵犯商业秘密、侵犯著作权等,请点击“违规举报”。

碎片内容

蜗牛文库的最新文档

二年级数学下册其中检测卷二年级数学下册其中检测卷附答案#期中测试卷.pdf
10.00金币
0下载
二年级数学下册期末质检卷(苏教版)二年级数学下册期末质检卷(苏教版)#期末复习 #期末测试卷 #二年级数学 #二年级数学下册#关注我持续更新小学知识.pdf
10.00金币
0下载
二年级数学下册期末混合运算专项练习二年级数学下册期末混合运算专项练习#二年级#二年级数学下册#关注我持续更新小学知识 #知识分享 #家长收藏孩子受益.pdf
10.00金币
1下载
二年级数学下册年月日三类周期问题解题方法二年级数学下册年月日三类周期问题解题方法#二年级#二年级数学下册#知识分享 #关注我持续更新小学知识 #家长收藏孩子受益.pdf
10.00金币
0下载
二年级数学下册解决问题专项训练二年级数学下册解决问题专项训练#专项训练#解决问题#二年级#二年级数学下册#知识分享.pdf
10.00金币
1下载
二年级数学下册还原问题二年级数学下册还原问题#二年级#二年级数学#关注我持续更新小学知识 #知识分享 #家长收藏孩子受益.pdf
10.00金币
1下载
二年级数学下册第六单元考试卷家长打印出来给孩子测试测试争取拿到高分!#小学二年级试卷分享 #二年级第六单考试数学 #第六单考试#二年级数学下册.pdf
10.00金币
0下载
二年级数学下册必背顺口溜口诀汇总二年级数学下册必背顺口溜口诀汇总#二年级#二年级数学下册 #知识分享 #家长收藏孩子受益 #关注我持续更新小学知识.pdf
10.00金币
0下载
二年级数学下册《重点难点思维题》两大问题解决技巧和方法巧算星期几解决周期问题还原问题强化思维训练老师精心整理家长可以打印出来给孩子练习#家长收藏孩子受益 #学霸秘籍 #思维训练 #二年级 #知识点总结.pdf
10.00金币
0下载
二年级数学下册 必背公式大全寒假提前背一背开学更轻松#二年级 #二年级数学 #二年级数学下册 #寒假充电计划 #公式.pdf
10.00金币
0下载
蜗牛文库+ 关注
实名认证
内容提供者

提供各种专业文档内容

确认删除?
QQ
  • QQ点击这里给我发消息
微信客服
  • 微信客服
回到顶部