电脑桌面
添加蜗牛文库到电脑桌面
安装后可以在桌面快捷访问

2022年医学专题—MRI膝关节(1).pptVIP免费

2022年医学专题—MRI膝关节(1).ppt2022年医学专题—MRI膝关节(1).ppt2022年医学专题—MRI膝关节(1).ppt2022年医学专题—MRI膝关节(1).ppt2022年医学专题—MRI膝关节(1).ppt
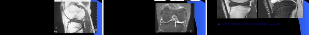
MRIMRI在膝关节创伤在膝关节创伤(chuāngshāng)(chuāngshāng)的应用的应用第一页,共六十四页。第一页,共六十四页。膝关节创伤的MRI半月板病变韧带(rèndài)病变软骨病变其它第二页,共六十四页。第二页,共六十四页。半月板-解剖纤维软骨结构LM:类圆形(O),前后部分(bùfen)相对等宽–外周疏松连接,外后腘肌腱和鞘与关节囊分开–半月板股骨韧带MM:半圆形(C),后部比前部宽–外周与关节囊紧密连接10MM10MM3LM3LM2ACL2ACL8PCL8PCL第三页,共六十四页。第三页,共六十四页。横韧带连接2个半月板前角位置(wèizhi):–关节囊之前–Hoffa’s髌下脂肪后部出现率:矢状面64%厚度:可变11横韧带横韧带22和和33半月板股骨半月板股骨(gǔgǔ)(gǔgǔ)韧韧带带((HumphreyandWrisbergHumphreyandWrisberg韧带)韧带)44腘肌腱腘肌腱55和和6ACL,PCL6ACL,PCL第四页,共六十四页。第四页,共六十四页。半月板股骨韧带LM后角—股骨内髁–Humphrey韧带(rèndài):PCL之前–Wrisberg韧带:PCL之后–出现率单个出现>1/3以上同时出现率6-20%第五页,共六十四页。第五页,共六十四页。半月板-技术考虑矢状位和冠状位短TE图像(túxiànɡ)优于长TE图像(túxiànɡ)-T1WI,PDWI,GRE优于T2WI第六页,共六十四页。第六页,共六十四页。正常半月板断层表现第七页,共六十四页。第七页,共六十四页。半月板撕裂诊断标准信号异常:信号异常:Grade0:Grade0:纤维软骨纤维软骨(ruǎngǔ)(ruǎngǔ)结构,所有序结构,所有序列上低信号列上低信号Grade2:Grade2:变性变性Grade3:Grade3:半月板撕裂半月板撕裂第八页,共六十四页。第八页,共六十四页。半月板撕裂-Grade3信号第九页,共六十四页。第九页,共六十四页。半月板-Grade2信号可以(kěyǐ)演变为撕裂第十页,共六十四页。第十页,共六十四页。半月板撕裂-形态异常游离(yóulí)缘变钝小的三角形破碎消失领结中断局限性凹陷后角小于前角外侧半月板前角高度>6mm第十一页,共六十四页。第十一页,共六十四页。半月板撕裂诊断标准同时考虑(kǎolǜ)信号和形态的改变第十二页,共六十四页。第十二页,共六十四页。半月板特殊信号异常半月板内撕裂(sīliè)或囊肿第十三页,共六十四页。第十三页,共六十四页。半月板撕裂分类层裂斜裂纵裂(zònɡliè)放射状撕裂注注:MR:MR的作用的作用(zuòyòng)(zuòyòng)在于明确有无撕裂,对撕裂的分型能在于明确有无...

1、当您付费下载文档后,您只拥有了使用权限,并不意味着购买了版权,文档只能用于自身使用,不得用于其他商业用途(如 [转卖]进行直接盈利或[编辑后售卖]进行间接盈利)。
2、本站所有内容均由合作方或网友上传,本站不对文档的完整性、权威性及其观点立场正确性做任何保证或承诺!文档内容仅供研究参考,付费前请自行鉴别。
3、如文档内容存在违规,或者侵犯商业秘密、侵犯著作权等,请点击“违规举报”。

碎片内容

蜗牛文库的最新文档

二年级数学下册其中检测卷二年级数学下册其中检测卷附答案#期中测试卷.pdf
10.00金币
0下载
二年级数学下册期末质检卷(苏教版)二年级数学下册期末质检卷(苏教版)#期末复习 #期末测试卷 #二年级数学 #二年级数学下册#关注我持续更新小学知识.pdf
10.00金币
0下载
二年级数学下册期末混合运算专项练习二年级数学下册期末混合运算专项练习#二年级#二年级数学下册#关注我持续更新小学知识 #知识分享 #家长收藏孩子受益.pdf
10.00金币
1下载
二年级数学下册年月日三类周期问题解题方法二年级数学下册年月日三类周期问题解题方法#二年级#二年级数学下册#知识分享 #关注我持续更新小学知识 #家长收藏孩子受益.pdf
10.00金币
0下载
二年级数学下册解决问题专项训练二年级数学下册解决问题专项训练#专项训练#解决问题#二年级#二年级数学下册#知识分享.pdf
10.00金币
1下载
二年级数学下册还原问题二年级数学下册还原问题#二年级#二年级数学#关注我持续更新小学知识 #知识分享 #家长收藏孩子受益.pdf
10.00金币
1下载
二年级数学下册第六单元考试卷家长打印出来给孩子测试测试争取拿到高分!#小学二年级试卷分享 #二年级第六单考试数学 #第六单考试#二年级数学下册.pdf
10.00金币
0下载
二年级数学下册必背顺口溜口诀汇总二年级数学下册必背顺口溜口诀汇总#二年级#二年级数学下册 #知识分享 #家长收藏孩子受益 #关注我持续更新小学知识.pdf
10.00金币
0下载
二年级数学下册《重点难点思维题》两大问题解决技巧和方法巧算星期几解决周期问题还原问题强化思维训练老师精心整理家长可以打印出来给孩子练习#家长收藏孩子受益 #学霸秘籍 #思维训练 #二年级 #知识点总结.pdf
10.00金币
0下载
二年级数学下册 必背公式大全寒假提前背一背开学更轻松#二年级 #二年级数学 #二年级数学下册 #寒假充电计划 #公式.pdf
10.00金币
0下载
蜗牛文库+ 关注
实名认证
内容提供者

提供各种专业文档内容

确认删除?
QQ
  • QQ点击这里给我发消息
微信客服
  • 微信客服
回到顶部