电脑桌面
添加蜗牛文库到电脑桌面
安装后可以在桌面快捷访问

2022年医学专题—肺结节(1).pptVIP免费

2022年医学专题—肺结节(1).ppt2022年医学专题—肺结节(1).ppt2022年医学专题—肺结节(1).ppt2022年医学专题—肺结节(1).ppt2022年医学专题—肺结节(1).ppt
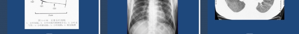
肺弥漫性结节和结节样致密(zhìmì)影的影像诊断第第第第第第第第第第弥漫性肺病(fèibìng)(diffuselungdisease,DLD)是指累及全部或几乎全部肺部,并在胸片或CT上形成各种表现的破坏性或限制性肺部疾病,是一种非特异性术语。第第第第第第第第第第弥漫性肺病的基本特征:1.分布:多灶性或弥漫2.形态:多样化或混杂3.部位:间质和实质浸润4.病理:多种类型和机制DLD约200-300种疾病,其中2/3病因(bìngyīn)不明第第第第第第第第第第影像表现(biǎoxiàn)(主要是)分型:网线状阴影结节状阴影高密度片影低密度囊片影肉芽肿阴影混合型阴影第第第第第第第第第第多发结节的表现:大小(dàxiǎo)形态密度背景来源和分布伴随征象第第第第第第第第第第大小分类(fēnlèi)≤粟粒结节≤微结节≤小结节≤中结节≤:大结节第第第第第第第第第第第第第第第第第第第第形态表现(biǎoxiàn):圆形或类圆形不规则形树芽状或分支状星状短棒状或弧形第第第第第第第第第第第第第第第第第第第第密度(mìdù)表现:实性囊性钙化性混合型第第第第第第第第第第第第第第第第第第第第第背景(bèijǐng)的分类:网状结节磨玻璃结节肺气肿结节正常背景下的结节第第第第第第第第第第第第第第第第第第第第第第分布与来源(láiyuán):1.间质性---淋巴道来源2.气腔性---吸入性3.气道性---气道壁4.随机性---血行性第第第第第第第第第第第第第第第第第第第第第第第第第第第第第第第第第肺的组成结构(jiégòu):气道系统支气管到细支气管并延续到肺泡。血管系统由肺动脉到细小肺动脉到肺泡的毛细血管,肺静脉到细小的肺静脉。间质结构由支气管动静脉、淋巴管组成。以上三者组成复杂的肺结构。第第第第第第第第第第第弥漫性肺疾病表现的解剖基础肺的间质:即肺的框架结构,包括中央间质支气管和血管(xuèguǎn)周围间隙,自肺门向外周放射。周围间质小叶间隔、胸膜下间隙。第三间质肺泡壁间隙。第第第第第第第第第第第小叶结构:每一个细支气管连同它的各级分支以及分支末端(mòduān)的肺泡构成一个肺小叶,或称次级肺小叶。小叶间隔:构成小叶的边缘。小叶核心:小叶动脉和细支气管。小叶实质:小叶核心的外围结构,呼吸性细支气管...

1、当您付费下载文档后,您只拥有了使用权限,并不意味着购买了版权,文档只能用于自身使用,不得用于其他商业用途(如 [转卖]进行直接盈利或[编辑后售卖]进行间接盈利)。
2、本站所有内容均由合作方或网友上传,本站不对文档的完整性、权威性及其观点立场正确性做任何保证或承诺!文档内容仅供研究参考,付费前请自行鉴别。
3、如文档内容存在违规,或者侵犯商业秘密、侵犯著作权等,请点击“违规举报”。

碎片内容

蜗牛文库的最新文档

二年级数学下册其中检测卷二年级数学下册其中检测卷附答案#期中测试卷.pdf
10.00金币
0下载
二年级数学下册期末质检卷(苏教版)二年级数学下册期末质检卷(苏教版)#期末复习 #期末测试卷 #二年级数学 #二年级数学下册#关注我持续更新小学知识.pdf
10.00金币
0下载
二年级数学下册期末混合运算专项练习二年级数学下册期末混合运算专项练习#二年级#二年级数学下册#关注我持续更新小学知识 #知识分享 #家长收藏孩子受益.pdf
10.00金币
1下载
二年级数学下册年月日三类周期问题解题方法二年级数学下册年月日三类周期问题解题方法#二年级#二年级数学下册#知识分享 #关注我持续更新小学知识 #家长收藏孩子受益.pdf
10.00金币
0下载
二年级数学下册解决问题专项训练二年级数学下册解决问题专项训练#专项训练#解决问题#二年级#二年级数学下册#知识分享.pdf
10.00金币
1下载
二年级数学下册还原问题二年级数学下册还原问题#二年级#二年级数学#关注我持续更新小学知识 #知识分享 #家长收藏孩子受益.pdf
10.00金币
1下载
二年级数学下册第六单元考试卷家长打印出来给孩子测试测试争取拿到高分!#小学二年级试卷分享 #二年级第六单考试数学 #第六单考试#二年级数学下册.pdf
10.00金币
0下载
二年级数学下册必背顺口溜口诀汇总二年级数学下册必背顺口溜口诀汇总#二年级#二年级数学下册 #知识分享 #家长收藏孩子受益 #关注我持续更新小学知识.pdf
10.00金币
0下载
二年级数学下册《重点难点思维题》两大问题解决技巧和方法巧算星期几解决周期问题还原问题强化思维训练老师精心整理家长可以打印出来给孩子练习#家长收藏孩子受益 #学霸秘籍 #思维训练 #二年级 #知识点总结.pdf
10.00金币
0下载
二年级数学下册 必背公式大全寒假提前背一背开学更轻松#二年级 #二年级数学 #二年级数学下册 #寒假充电计划 #公式.pdf
10.00金币
0下载
蜗牛文库+ 关注
实名认证
内容提供者

提供各种专业文档内容

确认删除?
QQ
  • QQ点击这里给我发消息
微信客服
  • 微信客服
回到顶部