电脑桌面
添加蜗牛文库到电脑桌面
安装后可以在桌面快捷访问

神经细胞培养2.pptVIP免费

神经细胞培养2.ppt神经细胞培养2.ppt神经细胞培养2.ppt神经细胞培养2.ppt神经细胞培养2.ppt
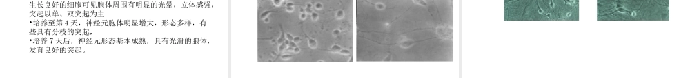
神经细胞培养第一节:细胞培养的基本知识1定义:组织培养(Tissueculture):细胞培养(cellculture):器官培养(organculture):统称为体外培养(Invitro)2组织或细胞培养的优点:1):研究对象是活细胞2):研究条件可以人为的控制3):研究的样本可以达到比较均一性4):研究的内容便于观察、检测和记录5):研究的费用相对比较经济6):可作为一些遗传物质的运载细胞7):干细胞的广泛应用前景3组织或细胞培养的不足:1)与体内条件存在差异;2)细胞培养存在一定的不稳定性培养细胞学的研究内容1培养细胞学在病毒学中的应用2细胞生物学的基础研究:细胞培养使细胞生物学迅速发展3细胞工程学的研究手段,利用细胞融合及杂交技术,进行细胞工程的研究与开发。4干细胞的培养及应用5淋巴细胞培养技术的应用6遗传性疾病的产前检查7细胞作为毒性实验及生物安全性实验的工具8细胞培养在现代生物技术中应用很广,如基因分离,基因测序与表达,基因转移与重组,癌基因的研究等。4培养细胞的特性1)培养细胞生长方式:a贴附生长型细胞(大多数)b悬浮生长型细胞(少数)2)培养细胞生长特点:贴附;接触抑制;密度依赖性5培养细胞生长的条件1)细胞的营养需要:a基本营养物质:氨基酸、维生素、碳水化合物及一些无机离子;b营养因子等物质2)细胞的生存环境:a温度:哺乳动物和人类为35~37℃;鸟类为38.5℃b气相及PH值:O2及CO2的值:CO2=5%;PH=7.2~7.4c渗透压:260~320mmol/L3)无污染及无毒:体外培养的细胞必须生长于无污染及无毒的环境!!无毒:与细胞直接接触者—培养器皿、底物、培养基,蒸馏水等;间接接触者—配制培养基的器皿、瓶盖、瓶塞等无污染:微生物及交叉污染,(霉菌污染常见)6常用的培养用液及培养基培养用液:水平衡盐溶液(BSS)(见表)作用:消化液1胰蛋白酶液(0.25%)2二乙烯四乙酸二钠(EDTA)3胶原酶:甘氨酸羟脯氨酸敏感培养基:1天然培养基(血清,血浆,组织浸出液,水解乳蛋白)2合成培养基(MEMDMEMHAM`SF12RPMI(1640)199L-15)等常用的平衡盐溶液(g/L)Ringer(1985)PBSEargle(1948)Hanks(1949Dulbecco(1954)D-HanksNaClKCl9.000.428.000.206.800.408.000.408.000.208.000.40CaCl2MgCl.6H2OMgSO4.7H2O0.250.200.200.140.201.100.10Na2HPO4.H2O1.560.060.06Na2HPO4.2H2OKH2PO40.201.140.062.420.200.06NaHCO3葡萄糖酚红3.201.000.020.351.00...

1、当您付费下载文档后,您只拥有了使用权限,并不意味着购买了版权,文档只能用于自身使用,不得用于其他商业用途(如 [转卖]进行直接盈利或[编辑后售卖]进行间接盈利)。
2、本站所有内容均由合作方或网友上传,本站不对文档的完整性、权威性及其观点立场正确性做任何保证或承诺!文档内容仅供研究参考,付费前请自行鉴别。
3、如文档内容存在违规,或者侵犯商业秘密、侵犯著作权等,请点击“违规举报”。

碎片内容

蜗牛文库的最新文档

二年级数学下册其中检测卷二年级数学下册其中检测卷附答案#期中测试卷.pdf
10.00金币
0下载
二年级数学下册期末质检卷(苏教版)二年级数学下册期末质检卷(苏教版)#期末复习 #期末测试卷 #二年级数学 #二年级数学下册#关注我持续更新小学知识.pdf
10.00金币
0下载
二年级数学下册期末混合运算专项练习二年级数学下册期末混合运算专项练习#二年级#二年级数学下册#关注我持续更新小学知识 #知识分享 #家长收藏孩子受益.pdf
10.00金币
1下载
二年级数学下册年月日三类周期问题解题方法二年级数学下册年月日三类周期问题解题方法#二年级#二年级数学下册#知识分享 #关注我持续更新小学知识 #家长收藏孩子受益.pdf
10.00金币
0下载
二年级数学下册解决问题专项训练二年级数学下册解决问题专项训练#专项训练#解决问题#二年级#二年级数学下册#知识分享.pdf
10.00金币
1下载
二年级数学下册还原问题二年级数学下册还原问题#二年级#二年级数学#关注我持续更新小学知识 #知识分享 #家长收藏孩子受益.pdf
10.00金币
1下载
二年级数学下册第六单元考试卷家长打印出来给孩子测试测试争取拿到高分!#小学二年级试卷分享 #二年级第六单考试数学 #第六单考试#二年级数学下册.pdf
10.00金币
0下载
二年级数学下册必背顺口溜口诀汇总二年级数学下册必背顺口溜口诀汇总#二年级#二年级数学下册 #知识分享 #家长收藏孩子受益 #关注我持续更新小学知识.pdf
10.00金币
0下载
二年级数学下册《重点难点思维题》两大问题解决技巧和方法巧算星期几解决周期问题还原问题强化思维训练老师精心整理家长可以打印出来给孩子练习#家长收藏孩子受益 #学霸秘籍 #思维训练 #二年级 #知识点总结.pdf
10.00金币
0下载
二年级数学下册 必背公式大全寒假提前背一背开学更轻松#二年级 #二年级数学 #二年级数学下册 #寒假充电计划 #公式.pdf
10.00金币
0下载
蜗牛文库+ 关注
实名认证
内容提供者

提供各种专业文档内容

确认删除?
QQ
  • QQ点击这里给我发消息
微信客服
  • 微信客服
回到顶部