电脑桌面
添加蜗牛文库到电脑桌面
安装后可以在桌面快捷访问

急性Stanford-B型AD并灌注不良的处理.pptxVIP免费

急性Stanford-B型AD并灌注不良的处理.pptx急性Stanford-B型AD并灌注不良的处理.pptx急性Stanford-B型AD并灌注不良的处理.pptx急性Stanford-B型AD并灌注不良的处理.pptx急性Stanford-B型AD并灌注不良的处理.pptx
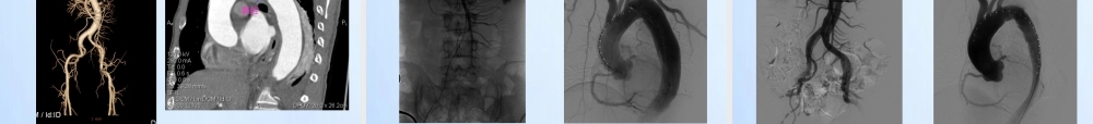
急性StanfordB型AD并灌注不良的处理南昌大学第二附属医院血管外科周为民,周卫、邱结华、袁庆文、陈锋、熊吉信E-mail:drzwm@sina.comTel:13870658585概述急性B型主动脉夹层的假腔可以压迫从腹主动脉发出的动脉分支,导致急性肾功能不全,缺血性肠炎、肠坏死,肝功能衰竭,下肢动脉缺血甚至坏死TEVAR不仅可以封堵主动脉夹层的破口,而且还可以缓解假腔对分支动脉的压迫,使闭塞的分支动脉重新开放作者自2003年7月至2013年11月共收治主动脉夹层208例,其中35例主动脉夹层合并有内脏缺血和下肢动脉缺血或坏死,分别通过TEVAR术及分支动脉支架、导管溶栓和截肢术等方法治疗,取得较好的效果研究目的•评估急性StanfordB型主动脉夹层并内脏或下肢动脉灌注不良的腔内治疗的可行性、疗效和近中期结果研究方法回顾性分析作者自2003年7月-2013年11月间收治的35例急性B型AD并内脏或下肢动脉灌注不良患者的临床资料术前术中术后均经CTA和DSA确诊临床资料男32例,女3例,年龄42-75岁,平均52.5±8.6岁病程4h-14天,均有高血压病史13例(37.1%)SMA缺血,9例(25.7%)肾动脉缺血,5例(14.3%)腹腔干缺血,8例(22.9%)下肢缺血(左下肢坏死1例),3例同时有肾动脉及下肢动脉缺血结果4例分别于左锁骨下动脉和腹腔干之间放置2个支架人工血管6例采用LSA烟囱技术9例因肠系膜上动脉缺血而植入支架(6例)或导管溶栓(3例)1例远端假腔内血栓形成压迫右髂动脉致其闭塞,TEVAR术后于右髂动脉内植入裸支架1枚1例合并左下肢动脉缺血坏死TEVAR术后一期行左大腿中上段截肢术首先TEVAR封堵第一破口结果•14例TEVAR后假腔消失,内脏血管恢复真腔供血,闭塞髂动脉真腔开放•技术成功率100%•随访1周-72个月,平均21.4±11个月,无移植物移位及器官缺血•灌注不良动脉支架通畅率100%Case1术前CTASMA术前CTA术中DSA造影TEVAR后造影假腔消失,SMA未见明显显影SMA支架术后造影SMA术后6月CTA复查SMA支架SMASMACase2真腔狭小,SMA双腔供血真腔CTATEVARbeforeafterTEVARbeforeafterCase3真腔闭塞CTA真腔闭塞CTA破口假腔真腔beforeTEVARbeforeTEVARafterafterCase4TEVAR+SMACDTTEVAR+SMACDTFollow-up5dFollow-up2moFollow-up12moCase5主动脉夹层并左髂动脉闭塞,左下肢严重缺血CTA在髂动脉闭塞TEVAR+截肢beforeafterCase6右髂动脉闭塞CTA右髂动脉未显影DSA评估TEVAR+chimney术后造影Follow-up1W术后1周仍有右下肢缺血右髂动脉stentSTENT:8mmx150mm,LUMI...

1、当您付费下载文档后,您只拥有了使用权限,并不意味着购买了版权,文档只能用于自身使用,不得用于其他商业用途(如 [转卖]进行直接盈利或[编辑后售卖]进行间接盈利)。
2、本站所有内容均由合作方或网友上传,本站不对文档的完整性、权威性及其观点立场正确性做任何保证或承诺!文档内容仅供研究参考,付费前请自行鉴别。
3、如文档内容存在违规,或者侵犯商业秘密、侵犯著作权等,请点击“违规举报”。

碎片内容

蜗牛文库的最新文档

二年级数学下册其中检测卷二年级数学下册其中检测卷附答案#期中测试卷.pdf
10.00金币
0下载
二年级数学下册期末质检卷(苏教版)二年级数学下册期末质检卷(苏教版)#期末复习 #期末测试卷 #二年级数学 #二年级数学下册#关注我持续更新小学知识.pdf
10.00金币
0下载
二年级数学下册期末混合运算专项练习二年级数学下册期末混合运算专项练习#二年级#二年级数学下册#关注我持续更新小学知识 #知识分享 #家长收藏孩子受益.pdf
10.00金币
1下载
二年级数学下册年月日三类周期问题解题方法二年级数学下册年月日三类周期问题解题方法#二年级#二年级数学下册#知识分享 #关注我持续更新小学知识 #家长收藏孩子受益.pdf
10.00金币
0下载
二年级数学下册解决问题专项训练二年级数学下册解决问题专项训练#专项训练#解决问题#二年级#二年级数学下册#知识分享.pdf
10.00金币
1下载
二年级数学下册还原问题二年级数学下册还原问题#二年级#二年级数学#关注我持续更新小学知识 #知识分享 #家长收藏孩子受益.pdf
10.00金币
1下载
二年级数学下册第六单元考试卷家长打印出来给孩子测试测试争取拿到高分!#小学二年级试卷分享 #二年级第六单考试数学 #第六单考试#二年级数学下册.pdf
10.00金币
0下载
二年级数学下册必背顺口溜口诀汇总二年级数学下册必背顺口溜口诀汇总#二年级#二年级数学下册 #知识分享 #家长收藏孩子受益 #关注我持续更新小学知识.pdf
10.00金币
0下载
二年级数学下册《重点难点思维题》两大问题解决技巧和方法巧算星期几解决周期问题还原问题强化思维训练老师精心整理家长可以打印出来给孩子练习#家长收藏孩子受益 #学霸秘籍 #思维训练 #二年级 #知识点总结.pdf
10.00金币
0下载
二年级数学下册 必背公式大全寒假提前背一背开学更轻松#二年级 #二年级数学 #二年级数学下册 #寒假充电计划 #公式.pdf
10.00金币
0下载
蜗牛文库+ 关注
实名认证
内容提供者

提供各种专业文档内容

确认删除?
QQ
  • QQ点击这里给我发消息
微信客服
  • 微信客服
回到顶部