电脑桌面
添加蜗牛文库到电脑桌面
安装后可以在桌面快捷访问

眼底血管荧光造影.pptVIP免费

眼底血管荧光造影.ppt眼底血管荧光造影.ppt眼底血管荧光造影.ppt眼底血管荧光造影.ppt眼底血管荧光造影.ppt
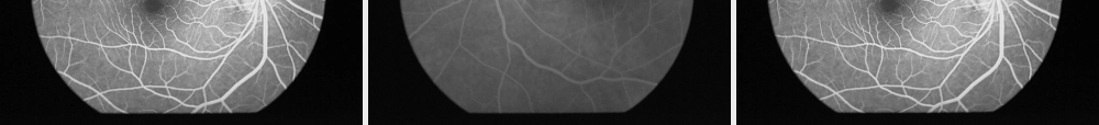
眼底血管荧光造影诊断技术:眼底病诊断重要技术脉络膜视网膜视神经提供依据:治疗选择、疗效观察、预后、发病机制与检眼镜眼底检查比较•动态观察•毛细血管水平•血管功能•脉络膜循环及色素上皮改变•激发光紫蓝光(465~490nm)荧光素钠荧光黄绿光(520~530nm)•原理眼底血供•睫状后短动脉•视网膜中央动脉视盘血供•睫状后短动脉分支•视网膜中央动脉毛细血管血视网膜屏障1:视网膜血管内皮细胞2:视网膜色素上皮正常情况荧光素钠不能通过该屏障疾病归类•循环动态异常•视网膜屏障功能损害•视网膜血管结构异常•色素上皮损害•脉络膜损害•视乳头损害循环动态异常•充盈迟缓•充盈缺损•动静脉吻合•逆行充盈视网膜屏障功能损害1:内屏障损害血管荧光渗漏血管壁损害毛细血管扩张新生血管2:外屏障损害荧光渗漏于网膜下中浆、原田氏病等视网膜血管结构异常•毛细血管扩张•毛细血管闭塞•侧支管道与动静脉短路•新生血管•动脉瘤与血管瘤色素上皮损害•屏障功能损害•萎缩•色素上皮脱离•玻璃膜疣•色素上皮异生与增殖脉络膜损害•脉络膜充盈迟缓•脉络膜毛细血管闭塞•脉络膜新生血管视乳头损害•荧光增强•荧光减弱造影及造影前准备•散瞳•过敏史、肝肾功,血压•荧光素钠:一种大分子染料,毒性小,不参与代谢。造影前过敏试验。•3秒内静推完染料,极少数人有恶心、呕吐。正常血管造影分期•动脉前期•动脉期•动、静脉期•静脉期•晚期动脉前期动脉期动、静脉期静脉期晚期正常黄斑荧光异常眼底荧光•低荧光:遮蔽荧光、充盈缺损•高荧光:透见荧光、异常血管、渗漏、积存、着色•原田氏病脉络膜毛细血管闭塞低背景荧光BRVO造影荧光表现黄斑出血遮蔽荧光AMD遮蔽荧光充盈缺损•BRVO血管闭塞区形成•视网膜中央动脉阻塞动脉充盈缺损透见荧光黄斑色素上皮损害透见荧光萎缩性改变)异常血管•BRVO新生血管•糖网新生血管•糖网新生血管膜•中渗新生血管•视网膜毛细血管扩张症(Coats病)中浆渗漏、积存、着色新生血管渗漏及血管壁渗漏•原田氏病荧光渗漏、积存•原田氏病荧光渗漏、积存先天黄斑缺损•葡萄膜炎黄斑囊样水肿•黄斑部视网膜前出血•视盘水肿•视盘有髓神经纤维

1、当您付费下载文档后,您只拥有了使用权限,并不意味着购买了版权,文档只能用于自身使用,不得用于其他商业用途(如 [转卖]进行直接盈利或[编辑后售卖]进行间接盈利)。
2、本站所有内容均由合作方或网友上传,本站不对文档的完整性、权威性及其观点立场正确性做任何保证或承诺!文档内容仅供研究参考,付费前请自行鉴别。
3、如文档内容存在违规,或者侵犯商业秘密、侵犯著作权等,请点击“违规举报”。

碎片内容

蜗牛文库的最新文档

二年级数学下册其中检测卷二年级数学下册其中检测卷附答案#期中测试卷.pdf
10.00金币
0下载
二年级数学下册期末质检卷(苏教版)二年级数学下册期末质检卷(苏教版)#期末复习 #期末测试卷 #二年级数学 #二年级数学下册#关注我持续更新小学知识.pdf
10.00金币
0下载
二年级数学下册期末混合运算专项练习二年级数学下册期末混合运算专项练习#二年级#二年级数学下册#关注我持续更新小学知识 #知识分享 #家长收藏孩子受益.pdf
10.00金币
1下载
二年级数学下册年月日三类周期问题解题方法二年级数学下册年月日三类周期问题解题方法#二年级#二年级数学下册#知识分享 #关注我持续更新小学知识 #家长收藏孩子受益.pdf
10.00金币
0下载
二年级数学下册解决问题专项训练二年级数学下册解决问题专项训练#专项训练#解决问题#二年级#二年级数学下册#知识分享.pdf
10.00金币
1下载
二年级数学下册还原问题二年级数学下册还原问题#二年级#二年级数学#关注我持续更新小学知识 #知识分享 #家长收藏孩子受益.pdf
10.00金币
1下载
二年级数学下册第六单元考试卷家长打印出来给孩子测试测试争取拿到高分!#小学二年级试卷分享 #二年级第六单考试数学 #第六单考试#二年级数学下册.pdf
10.00金币
0下载
二年级数学下册必背顺口溜口诀汇总二年级数学下册必背顺口溜口诀汇总#二年级#二年级数学下册 #知识分享 #家长收藏孩子受益 #关注我持续更新小学知识.pdf
10.00金币
0下载
二年级数学下册《重点难点思维题》两大问题解决技巧和方法巧算星期几解决周期问题还原问题强化思维训练老师精心整理家长可以打印出来给孩子练习#家长收藏孩子受益 #学霸秘籍 #思维训练 #二年级 #知识点总结.pdf
10.00金币
0下载
二年级数学下册 必背公式大全寒假提前背一背开学更轻松#二年级 #二年级数学 #二年级数学下册 #寒假充电计划 #公式.pdf
10.00金币
0下载
蜗牛文库+ 关注
实名认证
内容提供者

提供各种专业文档内容

确认删除?
QQ
  • QQ点击这里给我发消息
微信客服
  • 微信客服
回到顶部