电脑桌面
添加蜗牛文库到电脑桌面
安装后可以在桌面快捷访问

浅谈先天性心脏病.pptVIP免费

浅谈先天性心脏病.ppt浅谈先天性心脏病.ppt浅谈先天性心脏病.ppt浅谈先天性心脏病.ppt浅谈先天性心脏病.ppt
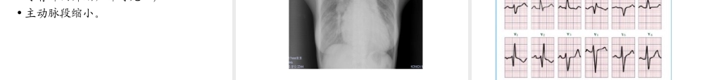
浅谈先天性心脏病武汉亚洲心脏病医院ICU郑萍心脏的胚胎发育关键时期是妊娠后2—8周第2周开始形成第4周开始有循环作用第8周房室间隔长成胎儿血液循环•正常的胎儿血液循环1.通过脐血管与胎盘和母体之间通过弥散方式进行物质(氧气和营养物质)交换2.胎儿循环中只有脐静脉是氧合血3.卵圆孔和动脉导管是正常胎儿血液循环的通路4.左右心室都向全身供血5.体循环为主,虽有肺循环存在,但无气体交换6.供应脑心肝及上肢的血氧含量远远大于下半身2、胎儿血液循环的特点3、出生后的改变•脐带结扎•肺循环形成•卵圆孔关闭•动脉导管关闭先天性心脏病分类(一)左向右分流的先天性心脏病房间隔缺损、室间隔缺损、动脉导管未闭右向左分流的先天性心脏病法洛氏四联症、右室双出口无分流的先天性心脏病肺动脉瓣狭窄、主动脉弓缩窄先天性心脏病分类(二)•非紫绀型房间隔缺损室间隔缺损动脉导管未闭心内膜垫缺损主动脉弓缩窄•紫绀型法乐氏四联症右室双出口肺动脉闭锁完全肺静脉异位引流完全性大动脉转位病因•内因:与遗传有关(染色体畸变)•外因:1)较重要的为宫内感染2)孕母接触大剂量的放射线,缺乏叶酸3)代谢性疾病(糖尿病、高钙血症)4)药物影响(抗癌药、甲糖宁等)5)子宫缺氧(慢性子宫内膜炎)先天性心脏病的治疗方法先天性先天性心脏病心脏病内科内科介入介入治疗治疗外科手术外科手术治疗治疗先天性心脏病的治疗方法内科治疗内科治疗外科治疗外科治疗介入治疗介入治疗1.心衰的治疗2.维持动脉导管的开放3.感染的控制4.其他1.姑息手术2.矫治手术1.ASD封堵2.PDA封堵3.VSD封堵4.PS扩张内外科联合治疗(Hybrid)房间隔缺损•概述•分型•病理生理•临床表现•并发症•X线检查•心电图•超声心动图•心导管检查•治疗•房缺的特征性表现Atrialseptaldefect,ASD一、概述•发病约占先心病总数的5—10%•女性较多见,男:女为1:2•症状较轻二、分型:根据胚胎发生•原发孔型也称为第一孔型房间隔缺损,缺损位于心内膜垫与房间隔交接处•继发孔型最为常见,缺损位于房间隔中心卵圆窝部位,亦称为中央型•静脉窦型分上腔型和下腔型•冠状静脉窦型缺损位于冠状静脉窦上端与左心房间中央型:约占76%下腔型:约占12%上腔型:约占3.5%房间隔缺损分型三、病理生理病生特点•心房水平的左向右分流•分流量与缺损大小、两侧心房压力差及心室的顺应性有关•由于右心血流量增加,舒张期负荷加重,故右心房、右心室增大•艾森曼格(Eisenme...

1、当您付费下载文档后,您只拥有了使用权限,并不意味着购买了版权,文档只能用于自身使用,不得用于其他商业用途(如 [转卖]进行直接盈利或[编辑后售卖]进行间接盈利)。
2、本站所有内容均由合作方或网友上传,本站不对文档的完整性、权威性及其观点立场正确性做任何保证或承诺!文档内容仅供研究参考,付费前请自行鉴别。
3、如文档内容存在违规,或者侵犯商业秘密、侵犯著作权等,请点击“违规举报”。

碎片内容

蜗牛文库的最新文档

二年级数学下册其中检测卷二年级数学下册其中检测卷附答案#期中测试卷.pdf
10.00金币
0下载
二年级数学下册期末质检卷(苏教版)二年级数学下册期末质检卷(苏教版)#期末复习 #期末测试卷 #二年级数学 #二年级数学下册#关注我持续更新小学知识.pdf
10.00金币
0下载
二年级数学下册期末混合运算专项练习二年级数学下册期末混合运算专项练习#二年级#二年级数学下册#关注我持续更新小学知识 #知识分享 #家长收藏孩子受益.pdf
10.00金币
1下载
二年级数学下册年月日三类周期问题解题方法二年级数学下册年月日三类周期问题解题方法#二年级#二年级数学下册#知识分享 #关注我持续更新小学知识 #家长收藏孩子受益.pdf
10.00金币
0下载
二年级数学下册解决问题专项训练二年级数学下册解决问题专项训练#专项训练#解决问题#二年级#二年级数学下册#知识分享.pdf
10.00金币
1下载
二年级数学下册还原问题二年级数学下册还原问题#二年级#二年级数学#关注我持续更新小学知识 #知识分享 #家长收藏孩子受益.pdf
10.00金币
1下载
二年级数学下册第六单元考试卷家长打印出来给孩子测试测试争取拿到高分!#小学二年级试卷分享 #二年级第六单考试数学 #第六单考试#二年级数学下册.pdf
10.00金币
0下载
二年级数学下册必背顺口溜口诀汇总二年级数学下册必背顺口溜口诀汇总#二年级#二年级数学下册 #知识分享 #家长收藏孩子受益 #关注我持续更新小学知识.pdf
10.00金币
0下载
二年级数学下册《重点难点思维题》两大问题解决技巧和方法巧算星期几解决周期问题还原问题强化思维训练老师精心整理家长可以打印出来给孩子练习#家长收藏孩子受益 #学霸秘籍 #思维训练 #二年级 #知识点总结.pdf
10.00金币
0下载
二年级数学下册 必背公式大全寒假提前背一背开学更轻松#二年级 #二年级数学 #二年级数学下册 #寒假充电计划 #公式.pdf
10.00金币
0下载
蜗牛文库+ 关注
实名认证
内容提供者

提供各种专业文档内容

确认删除?
QQ
  • QQ点击这里给我发消息
微信客服
  • 微信客服
回到顶部