电脑桌面
添加蜗牛文库到电脑桌面
安装后可以在桌面快捷访问

急性脑梗塞溶栓成功关键因素概论.pptVIP免费

急性脑梗塞溶栓成功关键因素概论.ppt急性脑梗塞溶栓成功关键因素概论.ppt急性脑梗塞溶栓成功关键因素概论.ppt急性脑梗塞溶栓成功关键因素概论.ppt急性脑梗塞溶栓成功关键因素概论.ppt
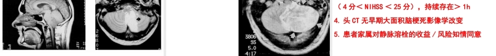
1急性脑梗塞及溶栓治疗单晓琳内分泌一科还能溶栓吗?•溶栓安全吗?•应该溶栓吗?•使用什么药物溶栓?•药物剂量如何?•如何临床管理?•如何监测?如何护理?•如果不进行溶栓治疗会怎样?脑血栓形成的病理生理学•缺血半暗带的形成、演变和临床意义急性脑梗死病灶是由中心坏死区及其周围的缺血半暗带(ischemicPenumbra)组成。急性脑梗死发生后,在中心坏死区的周围形成缺血半暗带。缺血半暗带内仍有侧支循环存在,可获得部分血液供给,尚有大量可存活的神经元。如果血流迅速恢复,损伤是可逆的,脑代谢障碍可恢复,神经细胞仍可存活并恢复功能。保护缺血半暗带区的神经元是急性脑梗死治疗成功的关键。早期再灌注治疗是缺血性脑卒中救治的关键早期再灌注治疗是缺血性脑卒中救治的关键必须分秒必争必须分秒必争缺血半暗带(可逆性脑损伤)GonzálezRG.AJNRAmJNeuroradiol.2006Apr;27(4):728-35.SaverJF.Stroke2006;37:263-266.未治疗的缺血性脑卒中患者,缺血区每分钟将有190万个神经元死亡10早期溶栓再灌注治疗,有利于挽救可逆性脑损伤9缺血中心区(不可逆性脑损伤)缺血性卒中治疗现状•静脉溶栓•动脉溶栓•动静脉联合溶栓•机械溶栓溶栓治疗的时间窗•前循环静脉内溶栓的时间窗为3小时动脉内溶栓的时间窗为6小时•后循环静脉或动脉的溶栓时间窗可达12小时缺血性卒中的初步诊断发病时间发病时间:是患者最后看起来正常状态的时候为发病时间,而不是症状出现时间7异常灌注的区域可以是坏死组织或存在坏死风险的组织结合弥散及灌注影像可以帮助我们确认那些存在坏死风险的组织,亦即所谓的缺血半影区在左侧首先一个DWI显示一个不可逆的坏死中间图像显示灌注不足的范围更大右侧是弥散-灌注的结合像蓝色显示缺血半影区,这些组织是可以通过治疗获得恢复的Diffusioninyellow.Perfusioninred.Mismatchinblueispenumbra.发病一小时后行MR扫描,你发现了什么?DWI序列上显示一个右侧大脑中动脉供血区的广泛的弥散受阻基底节同时受累弥散成像病变范围与DWI一致,说明病变属于坏死组织,溶栓治疗是不需要的另一个大脑中动脉梗死。CT上清楚的显示低密度区(即:不可逆坏死)DWI与灌注与其范围一致,所以溶栓治疗是不需要的另一病人的DWI,下面看弥散成像弥散显示病变范围与DWI完全不匹配几乎整个左侧大脑半球都出现灌注不足,也即是atrisk(有坏死的风险)中这个病人是一个理想的溶栓治疗对象后循环缺血的危险因素不可调...

1、当您付费下载文档后,您只拥有了使用权限,并不意味着购买了版权,文档只能用于自身使用,不得用于其他商业用途(如 [转卖]进行直接盈利或[编辑后售卖]进行间接盈利)。
2、本站所有内容均由合作方或网友上传,本站不对文档的完整性、权威性及其观点立场正确性做任何保证或承诺!文档内容仅供研究参考,付费前请自行鉴别。
3、如文档内容存在违规,或者侵犯商业秘密、侵犯著作权等,请点击“违规举报”。

碎片内容

蜗牛文库的最新文档

二年级数学下册其中检测卷二年级数学下册其中检测卷附答案#期中测试卷.pdf
10.00金币
0下载
二年级数学下册期末质检卷(苏教版)二年级数学下册期末质检卷(苏教版)#期末复习 #期末测试卷 #二年级数学 #二年级数学下册#关注我持续更新小学知识.pdf
10.00金币
0下载
二年级数学下册期末混合运算专项练习二年级数学下册期末混合运算专项练习#二年级#二年级数学下册#关注我持续更新小学知识 #知识分享 #家长收藏孩子受益.pdf
10.00金币
1下载
二年级数学下册年月日三类周期问题解题方法二年级数学下册年月日三类周期问题解题方法#二年级#二年级数学下册#知识分享 #关注我持续更新小学知识 #家长收藏孩子受益.pdf
10.00金币
0下载
二年级数学下册解决问题专项训练二年级数学下册解决问题专项训练#专项训练#解决问题#二年级#二年级数学下册#知识分享.pdf
10.00金币
1下载
二年级数学下册还原问题二年级数学下册还原问题#二年级#二年级数学#关注我持续更新小学知识 #知识分享 #家长收藏孩子受益.pdf
10.00金币
1下载
二年级数学下册第六单元考试卷家长打印出来给孩子测试测试争取拿到高分!#小学二年级试卷分享 #二年级第六单考试数学 #第六单考试#二年级数学下册.pdf
10.00金币
0下载
二年级数学下册必背顺口溜口诀汇总二年级数学下册必背顺口溜口诀汇总#二年级#二年级数学下册 #知识分享 #家长收藏孩子受益 #关注我持续更新小学知识.pdf
10.00金币
0下载
二年级数学下册《重点难点思维题》两大问题解决技巧和方法巧算星期几解决周期问题还原问题强化思维训练老师精心整理家长可以打印出来给孩子练习#家长收藏孩子受益 #学霸秘籍 #思维训练 #二年级 #知识点总结.pdf
10.00金币
0下载
二年级数学下册 必背公式大全寒假提前背一背开学更轻松#二年级 #二年级数学 #二年级数学下册 #寒假充电计划 #公式.pdf
10.00金币
0下载
蜗牛文库+ 关注
实名认证
内容提供者

提供各种专业文档内容

确认删除?
QQ
  • QQ点击这里给我发消息
微信客服
  • 微信客服
回到顶部