电脑桌面
添加蜗牛文库到电脑桌面
安装后可以在桌面快捷访问

急性胸痛4例.pptVIP免费

急性胸痛4例.ppt急性胸痛4例.ppt急性胸痛4例.ppt急性胸痛4例.ppt急性胸痛4例.ppt
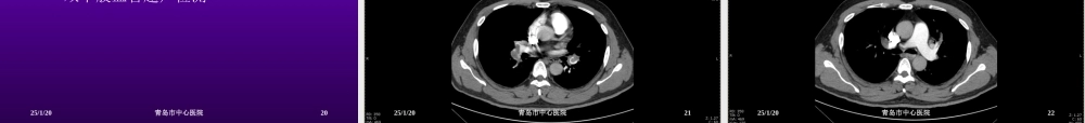
急性胸痛的患者急性胸痛的患者44例例李长江青岛市中心医院2014.12.21病例病例11患者XXX,男,45岁。突发胸痛、大汗、晕厥,家属呼叫“120”出诊,10分钟到达现场现场查体:意识不清,血压测不到,未触及大动脉搏动,无自主呼吸心电图:室颤25/1/202青岛市中心医院接下来怎么处理?接下来怎么处理?25/1/203青岛市中心医院心肺复苏心肺复苏立即360J非同步电除颤胸外心脏按压,气管插管抢救10分钟后心跳恢复,气囊辅助呼吸,返院25/1/204青岛市中心医院来院后情况来院后情况意识不清,烦躁不安,自主呼吸微弱,给予呼吸机辅助呼吸(SIMV模式)血压:140/120mmHg,双侧瞳孔不等大,皮肤湿冷,双肺呼吸音粗,未闻及干湿性啰音。HR:110次/分,律齐追问家属患者病史:高血压10余年,未治疗。酗酒,吸烟史20余年,每日20支25/1/205青岛市中心医院辅助检查辅助检查血常规、电解质、血糖、肾功无异常指端血氧饱和度92%心电图:aVR导联ST段抬高0.2mV,Ⅱ、Ⅲ、aVF、V1-6导联ST段压低0.2-0.3mV颅脑CT排除脑出血、脑血栓25/1/206青岛市中心医院诊断?诊断?急性冠脉综合征?肺栓塞?主动脉夹层?25/1/207青岛市中心医院急性冠脉综合征(急性冠脉综合征(ACSACS)?)?病人发病时有胸痛、大汗,继而晕厥,室颤心电图:aVR导联ST段抬高0.2mV,Ⅱ、Ⅲ、aVF、V1-6导联ST段压低0.2-0.3mV不具备急诊PCI的指征25/1/208青岛市中心医院肺栓塞?肺栓塞?病史符合急查血气分析、D-二聚体强化CT扫描可明确25/1/209青岛市中心医院主动脉夹层?主动脉夹层?剧烈胸痛、大汗、晕厥既往有高血压病史,未系统治疗强化CT扫描可确诊25/1/2010青岛市中心医院主动脉主动脉CTACTA25/1/2011青岛市中心医院主动脉主动脉CTACTA25/1/2012青岛市中心医院主动脉主动脉CTACTA25/1/2013青岛市中心医院主动脉主动脉CTACTA25/1/2014青岛市中心医院诊断:主动脉夹层诊断:主动脉夹层病情危重,死亡率极高维持生命体征降血压降至可耐受的低值(90/60mmHg)心率降至可耐受的低值(60次/分)外科手术治疗25/1/2015青岛市中心医院病例病例22患者XXX,男,48岁,出租车司机突发胸痛、胸闷半小时来院既往有高血压病史,规律治疗25/1/2016青岛市中心医院来院后情况来院后情况神志清,口唇轻度紫绀血压:140/80mmHg,双肺呼吸音粗,未闻及干湿性啰音。HR:120次/分,律齐,未闻及病理性杂音。腹平软,肝脾肋下未及,无压痛、反跳...

1、当您付费下载文档后,您只拥有了使用权限,并不意味着购买了版权,文档只能用于自身使用,不得用于其他商业用途(如 [转卖]进行直接盈利或[编辑后售卖]进行间接盈利)。
2、本站所有内容均由合作方或网友上传,本站不对文档的完整性、权威性及其观点立场正确性做任何保证或承诺!文档内容仅供研究参考,付费前请自行鉴别。
3、如文档内容存在违规,或者侵犯商业秘密、侵犯著作权等,请点击“违规举报”。

碎片内容

蜗牛文库的最新文档

二年级数学下册其中检测卷二年级数学下册其中检测卷附答案#期中测试卷.pdf
10.00金币
0下载
二年级数学下册期末质检卷(苏教版)二年级数学下册期末质检卷(苏教版)#期末复习 #期末测试卷 #二年级数学 #二年级数学下册#关注我持续更新小学知识.pdf
10.00金币
0下载
二年级数学下册期末混合运算专项练习二年级数学下册期末混合运算专项练习#二年级#二年级数学下册#关注我持续更新小学知识 #知识分享 #家长收藏孩子受益.pdf
10.00金币
1下载
二年级数学下册年月日三类周期问题解题方法二年级数学下册年月日三类周期问题解题方法#二年级#二年级数学下册#知识分享 #关注我持续更新小学知识 #家长收藏孩子受益.pdf
10.00金币
0下载
二年级数学下册解决问题专项训练二年级数学下册解决问题专项训练#专项训练#解决问题#二年级#二年级数学下册#知识分享.pdf
10.00金币
1下载
二年级数学下册还原问题二年级数学下册还原问题#二年级#二年级数学#关注我持续更新小学知识 #知识分享 #家长收藏孩子受益.pdf
10.00金币
1下载
二年级数学下册第六单元考试卷家长打印出来给孩子测试测试争取拿到高分!#小学二年级试卷分享 #二年级第六单考试数学 #第六单考试#二年级数学下册.pdf
10.00金币
0下载
二年级数学下册必背顺口溜口诀汇总二年级数学下册必背顺口溜口诀汇总#二年级#二年级数学下册 #知识分享 #家长收藏孩子受益 #关注我持续更新小学知识.pdf
10.00金币
0下载
二年级数学下册《重点难点思维题》两大问题解决技巧和方法巧算星期几解决周期问题还原问题强化思维训练老师精心整理家长可以打印出来给孩子练习#家长收藏孩子受益 #学霸秘籍 #思维训练 #二年级 #知识点总结.pdf
10.00金币
0下载
二年级数学下册 必背公式大全寒假提前背一背开学更轻松#二年级 #二年级数学 #二年级数学下册 #寒假充电计划 #公式.pdf
10.00金币
0下载
蜗牛文库+ 关注
实名认证
内容提供者

提供各种专业文档内容

确认删除?
QQ
  • QQ点击这里给我发消息
微信客服
  • 微信客服
回到顶部