电脑桌面
添加蜗牛文库到电脑桌面
安装后可以在桌面快捷访问

急性呼吸窘迫综合症-.pptVIP免费

急性呼吸窘迫综合症-.ppt急性呼吸窘迫综合症-.ppt急性呼吸窘迫综合症-.ppt急性呼吸窘迫综合症-.ppt急性呼吸窘迫综合症-.ppt
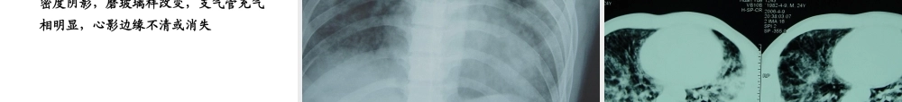
AcuteRespiratoryDistressSyndromeAcuteRespiratoryDistressSyndromeAcuteRespiratoryDistressSyndromeAcuteRespiratoryDistressSyndrome教学内容ALD/ARDS呼吸支持技术MODS/SIRS第一节第一节ALI/ARDSALI/ARDS重点ALI/ARDS概念ALI/ARDS病因ALI/ARDS临床表现ALI/ARDS诊断ALI/ARDSALI/ARDS治疗治疗病例男,25岁“肾病综合征”病史5年,长期口服激素发热、咳嗽10天,气促2天入住肾内科,抗心衰无效HR150次/分R45次/2006.11.24(一)概念急性进行性缺氧性呼吸衰竭急性进行性缺氧性呼吸衰竭各种肺内外原因(各种肺内外原因(排出心脏排出心脏))呼吸窘迫低氧血症(呼吸窘迫低氧血症(ALI/ARDSALI/ARDS))肺微血管通透性肺微血管通透性↑↑肺透明膜形成肺透明膜形成肺顺应性肺顺应性↓↓、、V/QV/Q失调失调全世界对ARDS的认知不容乐观2005年的研究显示,ARDS发病率分别在每年79/10万和59/10万严重感染时ARDS患病率可高达25%-50%,大量输血可达40%,多发性创伤达到11%-25%,而严重误吸时,患病率也可达9%-26%。国际荟萃分析显示,ARDS患者的病死率在50%左右。中国上海市15家成人ICU2001年3月至2002年3月ARDS病死率也高达68.5%。表表1ALI/ARDS1ALI/ARDS发病危险因素发病危险因素直接因素直接因素间接因素间接因素肺或胸部挫伤肺或胸部挫伤败血症,脓毒症败血症,脓毒症误吸误吸严重的非胸部创伤严重的非胸部创伤淹溺淹溺休克休克严重肺部感染严重肺部感染大量输血(输液)大量输血(输液)吸入有毒气体吸入有毒气体重症胰腺炎重症胰腺炎氧中毒氧中毒药物过量药物过量脂肪栓塞脂肪栓塞体外循环体外循环肺移植再灌注损伤肺移植再灌注损伤DIC机制未明直接致炎因子作用炎症细胞/至炎因子间接作用大量炎性介质(炎性细胞因子、过氧化物、白三烯、蛋白酶、血小板活化因子等)参与肺损伤过程炎症介质和抗炎介质失衡是关键SIRS/CARS平衡失调(二)发病机制(二)发病机制(三)病理病理改变:肺广泛充血水肿和肺泡内透明膜形成病理过程:渗出起、增生期、纤维化期镜下所见:肺为紫红色或暗红色,水肿、出血、充血、微血栓形成、间质和肺泡水肿、透明膜形成病理改变:湿肺正常肺ARDS肺(四)病理生理肺泡上皮和肺毛细血管内皮通透性增加所致的非心源性肺水肿。肺泡水肿、肺泡塌陷导致严重通气/血流比例失调,特别是肺内分流明显增加,从而产生严重的低氧血症。1.潜伏期:多数患者于原发病后5d内发生ALI/ARDS,因...

1、当您付费下载文档后,您只拥有了使用权限,并不意味着购买了版权,文档只能用于自身使用,不得用于其他商业用途(如 [转卖]进行直接盈利或[编辑后售卖]进行间接盈利)。
2、本站所有内容均由合作方或网友上传,本站不对文档的完整性、权威性及其观点立场正确性做任何保证或承诺!文档内容仅供研究参考,付费前请自行鉴别。
3、如文档内容存在违规,或者侵犯商业秘密、侵犯著作权等,请点击“违规举报”。

碎片内容

蜗牛文库的最新文档

二年级数学下册其中检测卷二年级数学下册其中检测卷附答案#期中测试卷.pdf
10.00金币
0下载
二年级数学下册期末质检卷(苏教版)二年级数学下册期末质检卷(苏教版)#期末复习 #期末测试卷 #二年级数学 #二年级数学下册#关注我持续更新小学知识.pdf
10.00金币
0下载
二年级数学下册期末混合运算专项练习二年级数学下册期末混合运算专项练习#二年级#二年级数学下册#关注我持续更新小学知识 #知识分享 #家长收藏孩子受益.pdf
10.00金币
1下载
二年级数学下册年月日三类周期问题解题方法二年级数学下册年月日三类周期问题解题方法#二年级#二年级数学下册#知识分享 #关注我持续更新小学知识 #家长收藏孩子受益.pdf
10.00金币
0下载
二年级数学下册解决问题专项训练二年级数学下册解决问题专项训练#专项训练#解决问题#二年级#二年级数学下册#知识分享.pdf
10.00金币
1下载
二年级数学下册还原问题二年级数学下册还原问题#二年级#二年级数学#关注我持续更新小学知识 #知识分享 #家长收藏孩子受益.pdf
10.00金币
1下载
二年级数学下册第六单元考试卷家长打印出来给孩子测试测试争取拿到高分!#小学二年级试卷分享 #二年级第六单考试数学 #第六单考试#二年级数学下册.pdf
10.00金币
0下载
二年级数学下册必背顺口溜口诀汇总二年级数学下册必背顺口溜口诀汇总#二年级#二年级数学下册 #知识分享 #家长收藏孩子受益 #关注我持续更新小学知识.pdf
10.00金币
0下载
二年级数学下册《重点难点思维题》两大问题解决技巧和方法巧算星期几解决周期问题还原问题强化思维训练老师精心整理家长可以打印出来给孩子练习#家长收藏孩子受益 #学霸秘籍 #思维训练 #二年级 #知识点总结.pdf
10.00金币
0下载
二年级数学下册 必背公式大全寒假提前背一背开学更轻松#二年级 #二年级数学 #二年级数学下册 #寒假充电计划 #公式.pdf
10.00金币
0下载
蜗牛文库+ 关注
实名认证
内容提供者

提供各种专业文档内容

确认删除?
QQ
  • QQ点击这里给我发消息
微信客服
  • 微信客服
回到顶部