电脑桌面
添加蜗牛文库到电脑桌面
安装后可以在桌面快捷访问

北医正畸-第3章--错合畸形的病因.pptVIP免费

北医正畸-第3章--错合畸形的病因.ppt北医正畸-第3章--错合畸形的病因.ppt北医正畸-第3章--错合畸形的病因.ppt北医正畸-第3章--错合畸形的病因.ppt北医正畸-第3章--错合畸形的病因.ppt
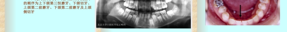
第三章错合畸形的病因北京大学口腔医学院正畸科错合畸形的病因掌握内容:口腔功能因素,口腔不良习惯导致错合畸形的临床表现及形成机制熟悉内容:替牙期常见局部障碍与错合畸形的关系错合畸形的病因一、遗传因素:来源于种族演化和个体发育二、环境因素:可分为先天因素和后天因素环境因素(一)先天因素1.母体因素2.胎儿因素3.常见的发育障碍及缺陷(1)额外牙:(2)先天性缺失牙:(3)牙大小形态异常:(4)舌形态异常:(5)唇系带异常:环境因素(二)后天因素1.某些急性及慢性疾病2.佝偻病3.内分泌功能异常4.营养不良环境因素(三)功能因素1.吮吸功能异常2.咀嚼功能异常3.呼吸功能异常4.异常吞咽5.肌功能异常环境因素(四)口腔不良习惯1.吮指习惯2.舌习惯3.唇习惯(1)咬下唇习惯:(2)咬上唇习惯:(3)覆盖下唇:4.偏侧咀嚼习惯多发生在乳牙后期5.咬物习惯6.睡眠习惯环境因素(五)乳牙期及替牙期的局部障碍1.乳牙早失2.乳牙滞留3.恒牙早失4.恒牙早萌5.恒牙萌出顺序紊乱6.多数乳磨牙早期缺失7.乳尖牙磨耗不足8.下沉乳牙(六)骨性错合的病因遗传环境因素一、遗传因素遗传因素:遗传基因决定。遗传(heredity)和变异(variation):错合畸形的遗传因素,来源于种族演化和个体发育。(一)种族演化错合畸形是随着人类的种族演化(raceevolution)而发生和发展的80万~50万年前的古人头骨上未发现错合10万年前尼安德特人头骨上有轻微错合殷墟人错合占28%而现代人类错合约占48.9%错合畸形的根本原因机制如下:1.原始人从爬行到直立2.咀嚼器官退化性缩小3.咀嚼器官的退化呈现出不平衡现象(二)个体发育在单卵双生子,遗传特性几乎完全相同双卵双生子则与寻常弟兄一样,具表现的相同性状较少。我国错合畸形的遗传因素约占错合畸形病因的29.4%二、环境因素(一)先天因素(congenitalcauses)是指从受孕后到出生前,胎儿在生长发育中,因各种原因所产生的1.母体因素母体的营养不良妊娠初期患病:如风疹、中毒、内分泌功能失调、梅毒及其他传染2.胎儿因素子宫内异常压力胎儿本身内分泌及新陈代谢失调孕期或分娩时损伤(一)先天因素(congenitalcauses)3.常见的发育障碍及缺陷(1)额外牙:来自牙列发育的起源及增殖阶段的异常。中切牙多生牙最多见(2)先天性缺失牙:先天性缺牙发生率的...

1、当您付费下载文档后,您只拥有了使用权限,并不意味着购买了版权,文档只能用于自身使用,不得用于其他商业用途(如 [转卖]进行直接盈利或[编辑后售卖]进行间接盈利)。
2、本站所有内容均由合作方或网友上传,本站不对文档的完整性、权威性及其观点立场正确性做任何保证或承诺!文档内容仅供研究参考,付费前请自行鉴别。
3、如文档内容存在违规,或者侵犯商业秘密、侵犯著作权等,请点击“违规举报”。

碎片内容

蜗牛文库的最新文档

二年级数学下册其中检测卷二年级数学下册其中检测卷附答案#期中测试卷.pdf
10.00金币
0下载
二年级数学下册期末质检卷(苏教版)二年级数学下册期末质检卷(苏教版)#期末复习 #期末测试卷 #二年级数学 #二年级数学下册#关注我持续更新小学知识.pdf
10.00金币
0下载
二年级数学下册期末混合运算专项练习二年级数学下册期末混合运算专项练习#二年级#二年级数学下册#关注我持续更新小学知识 #知识分享 #家长收藏孩子受益.pdf
10.00金币
1下载
二年级数学下册年月日三类周期问题解题方法二年级数学下册年月日三类周期问题解题方法#二年级#二年级数学下册#知识分享 #关注我持续更新小学知识 #家长收藏孩子受益.pdf
10.00金币
0下载
二年级数学下册解决问题专项训练二年级数学下册解决问题专项训练#专项训练#解决问题#二年级#二年级数学下册#知识分享.pdf
10.00金币
1下载
二年级数学下册还原问题二年级数学下册还原问题#二年级#二年级数学#关注我持续更新小学知识 #知识分享 #家长收藏孩子受益.pdf
10.00金币
1下载
二年级数学下册第六单元考试卷家长打印出来给孩子测试测试争取拿到高分!#小学二年级试卷分享 #二年级第六单考试数学 #第六单考试#二年级数学下册.pdf
10.00金币
0下载
二年级数学下册必背顺口溜口诀汇总二年级数学下册必背顺口溜口诀汇总#二年级#二年级数学下册 #知识分享 #家长收藏孩子受益 #关注我持续更新小学知识.pdf
10.00金币
0下载
二年级数学下册《重点难点思维题》两大问题解决技巧和方法巧算星期几解决周期问题还原问题强化思维训练老师精心整理家长可以打印出来给孩子练习#家长收藏孩子受益 #学霸秘籍 #思维训练 #二年级 #知识点总结.pdf
10.00金币
0下载
二年级数学下册 必背公式大全寒假提前背一背开学更轻松#二年级 #二年级数学 #二年级数学下册 #寒假充电计划 #公式.pdf
10.00金币
0下载
蜗牛文库+ 关注
实名认证
内容提供者

提供各种专业文档内容

确认删除?
QQ
  • QQ点击这里给我发消息
微信客服
  • 微信客服
回到顶部