电脑桌面
添加蜗牛文库到电脑桌面
安装后可以在桌面快捷访问

中枢神经系统正常及异常影像改变(北京协和医院).pptVIP免费

中枢神经系统正常及异常影像改变(北京协和医院).ppt中枢神经系统正常及异常影像改变(北京协和医院).ppt中枢神经系统正常及异常影像改变(北京协和医院).ppt中枢神经系统正常及异常影像改变(北京协和医院).ppt中枢神经系统正常及异常影像改变(北京协和医院).ppt
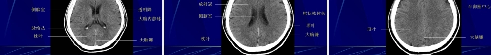
中枢神经系统正常及异常影像改变北京协和医院放射科中枢神经系统影像学技术颅骨平片脑血管造影脑CT脑磁共振头颅平片(正侧位像)头颅平片诊断价值有限•观察异物的存在和骨质结构的明显变化显示骨折、肿瘤骨转移、网状内皮系统疾病、代谢性骨病、骨纤、畸形性骨炎等观察颅骨骨折,有学者建议直接行CT•注意辨别正常颅缝、血管沟和骨折线•有时可看见颅内钙化,如松果体钙化、肿瘤钙化等(中线钙化:松果体钙化、第三脑室脉络丛钙化、大脑镰钙化)•侧位可观察蝶鞍的形态,如扩大提示垂体瘤等,但不扩大也不能排除病变脑血管造影脑血管造影适应征•诊断脑动脉瘤、血管发育异常、血管闭塞•了解脑肿瘤的供血动脉•可同时行介入治疗溶栓Coil(螺圈)闭塞动脉瘤和血管畸形等术前栓塞富血管性肿瘤如脑膜瘤其他NeuroCT----CT在CNS的应用•CT平扫怀疑急性颅内出血的首选检查手段若CT已有梗塞征象,则不应系统溶栓•CT血管造影(CTangiography,CTA)识认血管•其他最新应用CT脑灌注成像(CTperfusion)MRItips•主要基于3个可变的生物学参数:质子密度(protondensity)纵向驰豫恢复时间(T1relaxationtime)横向驰豫恢复时间(T2relaxationtime)•通过采用不同的脉冲序列和不同的成像参数,获得反映上述生物学参数对比的MR图像,即质子密度加权像(PDWI)、T1加权像(T1WI)和T2加权像(T2WI)•这些图像上的信号强度与特定的组织特征有关。比如:血肿的化学和物理结构随时间而变化,直接影响其MR图像的信号强度由此提供出血时间的信息,急性?亚急性?还是慢性?其他方法•气脑造影及脑池造影Airencephalographyandcisternography有创性检查,现已基本不用。•USG用于囟门未闭的婴幼儿,观察脑内结构;TCD:检测颈部及颅内动脉血流动力学变化,了解头颈部血管病变的情况。PartII:imagingfeatures中枢神经系统正常及异常影像学表现MRI图像T1加权像:--看正常解剖---脑脊液和房水是黑的灰质比白质暗(就像真的)T2加权像:--看病理改变---脑脊液和房水是白的灰质比白质亮骨皮质骨髓质脑膜脑脊液脑白质脑灰质血管T1WI低信号高信号低信号低信号高信号等信号流空信号T2WI低信号中高信号低信号高信号等信号中高信号流空信号颅脑正常的MRI信号颅脑X线解剖简介平片-正位像平片-侧位像CT-颅底蝶鞍层面蝶骨小翼前床突颞骨岩部脑桥小脑半球枕内隆凸第四脑室颞叶鞍上池层面额叶颞叶鞍上池脑桥第四脑室小脑半球额窦第三脑室层面侧...

1、当您付费下载文档后,您只拥有了使用权限,并不意味着购买了版权,文档只能用于自身使用,不得用于其他商业用途(如 [转卖]进行直接盈利或[编辑后售卖]进行间接盈利)。
2、本站所有内容均由合作方或网友上传,本站不对文档的完整性、权威性及其观点立场正确性做任何保证或承诺!文档内容仅供研究参考,付费前请自行鉴别。
3、如文档内容存在违规,或者侵犯商业秘密、侵犯著作权等,请点击“违规举报”。

碎片内容

蜗牛文库的最新文档

二年级数学下册其中检测卷二年级数学下册其中检测卷附答案#期中测试卷.pdf
10.00金币
0下载
二年级数学下册期末质检卷(苏教版)二年级数学下册期末质检卷(苏教版)#期末复习 #期末测试卷 #二年级数学 #二年级数学下册#关注我持续更新小学知识.pdf
10.00金币
0下载
二年级数学下册期末混合运算专项练习二年级数学下册期末混合运算专项练习#二年级#二年级数学下册#关注我持续更新小学知识 #知识分享 #家长收藏孩子受益.pdf
10.00金币
1下载
二年级数学下册年月日三类周期问题解题方法二年级数学下册年月日三类周期问题解题方法#二年级#二年级数学下册#知识分享 #关注我持续更新小学知识 #家长收藏孩子受益.pdf
10.00金币
0下载
二年级数学下册解决问题专项训练二年级数学下册解决问题专项训练#专项训练#解决问题#二年级#二年级数学下册#知识分享.pdf
10.00金币
1下载
二年级数学下册还原问题二年级数学下册还原问题#二年级#二年级数学#关注我持续更新小学知识 #知识分享 #家长收藏孩子受益.pdf
10.00金币
1下载
二年级数学下册第六单元考试卷家长打印出来给孩子测试测试争取拿到高分!#小学二年级试卷分享 #二年级第六单考试数学 #第六单考试#二年级数学下册.pdf
10.00金币
0下载
二年级数学下册必背顺口溜口诀汇总二年级数学下册必背顺口溜口诀汇总#二年级#二年级数学下册 #知识分享 #家长收藏孩子受益 #关注我持续更新小学知识.pdf
10.00金币
0下载
二年级数学下册《重点难点思维题》两大问题解决技巧和方法巧算星期几解决周期问题还原问题强化思维训练老师精心整理家长可以打印出来给孩子练习#家长收藏孩子受益 #学霸秘籍 #思维训练 #二年级 #知识点总结.pdf
10.00金币
0下载
二年级数学下册 必背公式大全寒假提前背一背开学更轻松#二年级 #二年级数学 #二年级数学下册 #寒假充电计划 #公式.pdf
10.00金币
0下载
蜗牛文库+ 关注
实名认证
内容提供者

提供各种专业文档内容

确认删除?
QQ
  • QQ点击这里给我发消息
微信客服
  • 微信客服
回到顶部