电脑桌面
添加蜗牛文库到电脑桌面
安装后可以在桌面快捷访问

二尖瓣狭窄伴关闭不全导致的症状.pptxVIP免费

二尖瓣狭窄伴关闭不全导致的症状.pptx二尖瓣狭窄伴关闭不全导致的症状.pptx二尖瓣狭窄伴关闭不全导致的症状.pptx二尖瓣狭窄伴关闭不全导致的症状.pptx二尖瓣狭窄伴关闭不全导致的症状.pptx
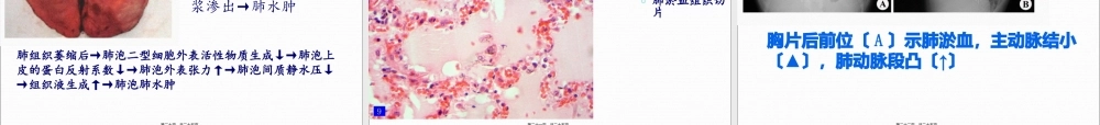
输送血液的泵—心脏第一页,共二十五页。心脏的四个腔所连的血管左心房左心室右心室右心房上腔静脉下腔静脉肺静脉肺静脉肺动脉主动脉第二页,共二十五页。心脏结构第三页,共二十五页。风湿热导致二尖瓣狭窄此类风湿性心脏病中:25%为单纯性二尖瓣狭窄40%为二尖瓣狭窄合并二尖瓣关闭不全第四页,共二十五页。二尖瓣狭窄的临床表现心脏二尖瓣结构改变,导致二尖瓣开放幅度变小,引起左心房血流受阻,左心室回心血量减少,左心房压力增高第五页,共二十五页。二尖瓣狭窄后的病理生理表现舒张期血流由左心房流入左心室时受限左心房压力异常增高肺静脉和肺毛细血管压力的升高扩张和淤血肺循环血容量长期超负荷第六页,共二十五页。肺动脉压力上升肺小动脉痉挛而硬化引起右心室肥厚和扩张继而可发生右心室衰竭第七页,共二十五页。二尖瓣关闭不全的主要病理生理改变左心房接受肺静脉回流的血液,和左心室返流的血液,导致左心房压力的升高,同时左心室舒张期容量负荷增加,左心室扩大。左心房压力增高维持正常心排出量,导致肺静脉压和肺毛细血管楔压升高,出现活动憋气。随病程进展,将导致肺动脉高压和心功能衰竭。第八页,共二十五页。临床表现一、左心衰竭主要表现为心排血量降低所致的临床综合征。(一)病症1.呼吸困难是左心衰竭较早出现的主要病症。2.咳嗽、咳痰和咯血3.体力下降、乏力和虚弱4.泌尿系统病症早期夜尿增多,后期少尿、肾功能不全第九页,共二十五页。临床表现二、右心衰竭主要表现为体循环瘀血为主的综合征。(一)病症1.胃肠道病症2.肾脏病症3.肝区疼痛4.呼吸困难单纯右心衰竭时通常不存在肺瘀血,气喘没有左心衰竭明显。在左心衰竭根底上或二尖瓣狭窄发生右心衰竭时,因肺瘀血减轻,故呼吸困难较左心衰竭时减轻。但开始即为右心衰竭有不同程度的呼吸困难。第十页,共二十五页。夜间阵发性呼吸困难左心衰的特征性表现,指患者入睡后因呼吸困难而突然惊醒、坐起、咳嗽、喘气的病症。同时,病症随坐起后逐渐缓解。第十一页,共二十五页。出现夜间阵发性呼吸困难的原因下半身静脉血回流下肢水肿液吸收入血液循环肺瘀血水肿膈肌上移胸腔容积肺活量迷走神经兴奋性支气管痉挛气道阻力呼吸困难第十二页,共二十五页。患者为了减轻呼吸困难被迫采取端坐位或半卧位的状态,叫端坐呼吸。产生机制:端坐时,血液由于重力作用,局部转移至下半身心血量肺瘀血呼吸困难端坐时,膈肌位置相对下移胸腔容积相对肺活量呼吸困难下半身水肿液吸收...

1、当您付费下载文档后,您只拥有了使用权限,并不意味着购买了版权,文档只能用于自身使用,不得用于其他商业用途(如 [转卖]进行直接盈利或[编辑后售卖]进行间接盈利)。
2、本站所有内容均由合作方或网友上传,本站不对文档的完整性、权威性及其观点立场正确性做任何保证或承诺!文档内容仅供研究参考,付费前请自行鉴别。
3、如文档内容存在违规,或者侵犯商业秘密、侵犯著作权等,请点击“违规举报”。

碎片内容

蜗牛文库的最新文档

二年级数学下册其中检测卷二年级数学下册其中检测卷附答案#期中测试卷.pdf
10.00金币
0下载
二年级数学下册期末质检卷(苏教版)二年级数学下册期末质检卷(苏教版)#期末复习 #期末测试卷 #二年级数学 #二年级数学下册#关注我持续更新小学知识.pdf
10.00金币
0下载
二年级数学下册期末混合运算专项练习二年级数学下册期末混合运算专项练习#二年级#二年级数学下册#关注我持续更新小学知识 #知识分享 #家长收藏孩子受益.pdf
10.00金币
1下载
二年级数学下册年月日三类周期问题解题方法二年级数学下册年月日三类周期问题解题方法#二年级#二年级数学下册#知识分享 #关注我持续更新小学知识 #家长收藏孩子受益.pdf
10.00金币
0下载
二年级数学下册解决问题专项训练二年级数学下册解决问题专项训练#专项训练#解决问题#二年级#二年级数学下册#知识分享.pdf
10.00金币
1下载
二年级数学下册还原问题二年级数学下册还原问题#二年级#二年级数学#关注我持续更新小学知识 #知识分享 #家长收藏孩子受益.pdf
10.00金币
1下载
二年级数学下册第六单元考试卷家长打印出来给孩子测试测试争取拿到高分!#小学二年级试卷分享 #二年级第六单考试数学 #第六单考试#二年级数学下册.pdf
10.00金币
0下载
二年级数学下册必背顺口溜口诀汇总二年级数学下册必背顺口溜口诀汇总#二年级#二年级数学下册 #知识分享 #家长收藏孩子受益 #关注我持续更新小学知识.pdf
10.00金币
0下载
二年级数学下册《重点难点思维题》两大问题解决技巧和方法巧算星期几解决周期问题还原问题强化思维训练老师精心整理家长可以打印出来给孩子练习#家长收藏孩子受益 #学霸秘籍 #思维训练 #二年级 #知识点总结.pdf
10.00金币
0下载
二年级数学下册 必背公式大全寒假提前背一背开学更轻松#二年级 #二年级数学 #二年级数学下册 #寒假充电计划 #公式.pdf
10.00金币
0下载
蜗牛文库+ 关注
实名认证
内容提供者

提供各种专业文档内容

确认删除?
QQ
  • QQ点击这里给我发消息
微信客服
  • 微信客服
回到顶部