电脑桌面
添加蜗牛文库到电脑桌面
安装后可以在桌面快捷访问

住院医师规培结业-腹部超声判读.pptxVIP免费

住院医师规培结业-腹部超声判读.pptx住院医师规培结业-腹部超声判读.pptx住院医师规培结业-腹部超声判读.pptx住院医师规培结业-腹部超声判读.pptx住院医师规培结业-腹部超声判读.pptx
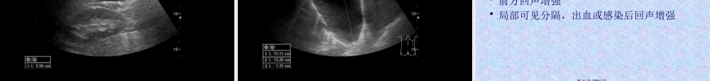
腹部超声临床结果判读第一页,共四十二页。常用概念•超声人耳可以接受的频率范围16~20000Hz,高于20000Hz者称为超声,常用的诊断超声频率2.5~7.5MHz。超声在人体内传播速度平均为1540m/s。•超声诊断利用超声波在人体组织内传播过程中,经过声反射等原理,将获得的信息加以分析综合,借以探索体内器官生理和病理变化,由此来判断疾病的一种诊断方法。第二页,共四十二页。超声诊断仪分类•A型:幅度调制型•B型:辉度调制型•M型:超声心动图•D型:ColorDopplerFlowImaging•三维超声第三页,共四十二页。回声描述分类•无回声介质均匀,内无界面反射,透声良好,主要用于含液性器官或病变。•低回声介质结构细,内部少界面反射,多见于实质而均匀的器官和病变。•强回声说明界面反射复杂,声阻大,见于含气体和钙盐的器官和病变。•声影说明界面声阻极大,使声能大量反射,形成强回声光团,其前方形成纵向条状暗带第四页,共四十二页。临床应用范围颅脑、眼部、甲状腺、乳腺、心脏、肝脏、胆道、胰腺、脾、腹膜后、阑尾、泌尿系、妇科、产科、软组织、关节、血管等等第五页,共四十二页。第六页,共四十二页。介入性超声介入超声也称作超声引导靶向诊疗技术(InterventionalUltrasound),其主要特点是在实时超声的监视或引导下,完成各种穿刺活检、造影以及抽吸、插管、注药、消融等操作,是现代超声医学的主要分支,也是目前微创手术的方向之一。第七页,共四十二页。第八页,共四十二页。B超下显示翻开的电极针治疗结束后显示治疗区域的状态超声引导下肝肿瘤射频消融第九页,共四十二页。射频术后即刻增强CT显示低密度灶,边界清楚,密度均匀,无强化第十页,共四十二页。治疗前治疗后超声引导下肝肿瘤酒精治疗第十一页,共四十二页。肝囊肿穿刺第十二页,共四十二页。浅表肿物粒子植入第十三页,共四十二页。脂肪肝•正常肝内脂肪含量约5%•肝径正常或轻中度增大•肝内回声增强致密,透声降低,远场衰减•肝内管系显示不清第十四页,共四十二页。第十五页,共四十二页。第十六页,共四十二页。第十七页,共四十二页。浆膜腔积液•浆膜腔内可见液性暗区。•心包积液、胸腔积液、腹腔积液•超声可以定位或引导下穿刺第十八页,共四十二页。第十九页,共四十二页。第二十页,共四十二页。第二十一页,共四十二页。肝囊肿•肝内出现单发或多发无回声结构•圆形或椭圆形•壁光滑,侧壁回声失落•前方回声增强•局部可见分隔,出血或感染后回声增...

1、当您付费下载文档后,您只拥有了使用权限,并不意味着购买了版权,文档只能用于自身使用,不得用于其他商业用途(如 [转卖]进行直接盈利或[编辑后售卖]进行间接盈利)。
2、本站所有内容均由合作方或网友上传,本站不对文档的完整性、权威性及其观点立场正确性做任何保证或承诺!文档内容仅供研究参考,付费前请自行鉴别。
3、如文档内容存在违规,或者侵犯商业秘密、侵犯著作权等,请点击“违规举报”。

碎片内容

蜗牛文库的最新文档

二年级数学下册其中检测卷二年级数学下册其中检测卷附答案#期中测试卷.pdf
10.00金币
0下载
二年级数学下册期末质检卷(苏教版)二年级数学下册期末质检卷(苏教版)#期末复习 #期末测试卷 #二年级数学 #二年级数学下册#关注我持续更新小学知识.pdf
10.00金币
0下载
二年级数学下册期末混合运算专项练习二年级数学下册期末混合运算专项练习#二年级#二年级数学下册#关注我持续更新小学知识 #知识分享 #家长收藏孩子受益.pdf
10.00金币
1下载
二年级数学下册年月日三类周期问题解题方法二年级数学下册年月日三类周期问题解题方法#二年级#二年级数学下册#知识分享 #关注我持续更新小学知识 #家长收藏孩子受益.pdf
10.00金币
0下载
二年级数学下册解决问题专项训练二年级数学下册解决问题专项训练#专项训练#解决问题#二年级#二年级数学下册#知识分享.pdf
10.00金币
1下载
二年级数学下册还原问题二年级数学下册还原问题#二年级#二年级数学#关注我持续更新小学知识 #知识分享 #家长收藏孩子受益.pdf
10.00金币
1下载
二年级数学下册第六单元考试卷家长打印出来给孩子测试测试争取拿到高分!#小学二年级试卷分享 #二年级第六单考试数学 #第六单考试#二年级数学下册.pdf
10.00金币
0下载
二年级数学下册必背顺口溜口诀汇总二年级数学下册必背顺口溜口诀汇总#二年级#二年级数学下册 #知识分享 #家长收藏孩子受益 #关注我持续更新小学知识.pdf
10.00金币
0下载
二年级数学下册《重点难点思维题》两大问题解决技巧和方法巧算星期几解决周期问题还原问题强化思维训练老师精心整理家长可以打印出来给孩子练习#家长收藏孩子受益 #学霸秘籍 #思维训练 #二年级 #知识点总结.pdf
10.00金币
0下载
二年级数学下册 必背公式大全寒假提前背一背开学更轻松#二年级 #二年级数学 #二年级数学下册 #寒假充电计划 #公式.pdf
10.00金币
0下载
蜗牛文库+ 关注
实名认证
内容提供者

提供各种专业文档内容

确认删除?
QQ
  • QQ点击这里给我发消息
微信客服
  • 微信客服
回到顶部