电脑桌面
添加蜗牛文库到电脑桌面
安装后可以在桌面快捷访问

58-胃肠道间质瘤的影像学表现.pptVIP免费

58-胃肠道间质瘤的影像学表现.ppt58-胃肠道间质瘤的影像学表现.ppt58-胃肠道间质瘤的影像学表现.ppt58-胃肠道间质瘤的影像学表现.ppt58-胃肠道间质瘤的影像学表现.ppt
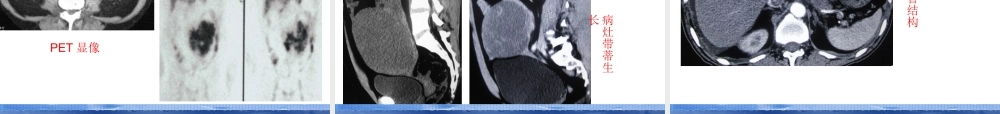
胃肠道间质瘤的影像学表现泰安煤矿医院主讲人张海霞胃肠道间质瘤的影像学表现•定义•流行病学分析•组织病理学•临床表现•影像学表现•鉴别诊断一定义胃肠道间质瘤(gastrointestinalstromaltumors,GIST)是非常少见的非上皮性肿瘤,由Mazu和Clark在1983年首先提出,传统上几乎都将其归类为平滑肌肿瘤。近年来的研究表明,此类肿瘤并不同于真正的平滑肌瘤,而是一组独立来源于胃肠道管壁间叶组织的非定向分化的间叶性肿瘤。一定义•上皮性肿瘤•肌源性肿瘤•神经源性肿瘤•血管源性肿瘤•淋巴源性肿瘤•间质瘤一定义间质瘤:原发于胃肠道、网膜及肠系膜的干细胞生长因子受体(KIT)阳性的梭形细胞或上皮样细胞的肿瘤,显示向胃肠道间质cajal细胞(胃肠道起搏细胞)分化。二、流行病学分析GIST在胃肠道的分布比例:胃(60%--70%),小肠(20%--30%)结直肠(5%)食管(<5%)网膜、肠系膜极少GIST占胃肿瘤的2%--3%,占胃间叶性肿瘤的94%食管间叶性肿瘤GIST--25%,真性平滑肌瘤--75%大体观:GIST来源于胃肠道,边缘光滑、柔软,呈灰白色,可有假包膜。肿瘤瘤径从0.5~44.0cm不等。三、组织病理学三、组织病理学GIST组织起源及发生:•学说1来源于胃肠道间质的cajal细胞,这是因为在胃肠道KIT阳性的正常细胞为cajal细胞,主要功能是调节胃肠道的运动。免疫组织化学及超微结构观察均发现cajal细胞与GIST非常相似,因此支持来源于cajal细胞。•学说2来源于能分化为caial细胞及平滑肌细胞的原始干细胞。三、组织病理学免疫组织化学技术,高达95%的GIST对CD117抗体呈强阳性,而胃肠平滑肌源性肿瘤及神经鞘瘤均不表达CD117,因而可作出鉴别诊断。四、临床表现好发年龄50岁以上中老年人,40岁以前罕见,男性稍多于女性主要症状消化道出血其他症状贫血腹部肿块腹痛消化不良肠梗阻五、间质瘤的影像学表现间质瘤的影像学表现平扫形态:单纯肿块,边界清楚肠道壁不均匀增厚密度:均匀等密度混杂密度周边呈等密度,中间呈略低密度钙化坏死、液化,与肠腔相通,腔内龛影或气液面五、间质瘤的影像学表现强化:均匀强化中度或明显均匀强化不均匀强化实性成分强化,其内小囊状坏死无强化中央大片坏死无强化,周边中度或明显强化环形强化中央可见辐射状的血管结构五、间质瘤的影像学表现分型:1)粘膜下型---内生性生长2)肌壁间型---混合性生长3)浆膜下型---外生性生长4)胃肠道外型1)粘膜下型---内生性生长肿块从黏膜下向腔内生长突出,与管壁有蒂相连胃--胃体部多见小肠--十二...

1、当您付费下载文档后,您只拥有了使用权限,并不意味着购买了版权,文档只能用于自身使用,不得用于其他商业用途(如 [转卖]进行直接盈利或[编辑后售卖]进行间接盈利)。
2、本站所有内容均由合作方或网友上传,本站不对文档的完整性、权威性及其观点立场正确性做任何保证或承诺!文档内容仅供研究参考,付费前请自行鉴别。
3、如文档内容存在违规,或者侵犯商业秘密、侵犯著作权等,请点击“违规举报”。

碎片内容

蜗牛文库的最新文档

二年级数学下册其中检测卷二年级数学下册其中检测卷附答案#期中测试卷.pdf
10.00金币
0下载
二年级数学下册期末质检卷(苏教版)二年级数学下册期末质检卷(苏教版)#期末复习 #期末测试卷 #二年级数学 #二年级数学下册#关注我持续更新小学知识.pdf
10.00金币
0下载
二年级数学下册期末混合运算专项练习二年级数学下册期末混合运算专项练习#二年级#二年级数学下册#关注我持续更新小学知识 #知识分享 #家长收藏孩子受益.pdf
10.00金币
1下载
二年级数学下册年月日三类周期问题解题方法二年级数学下册年月日三类周期问题解题方法#二年级#二年级数学下册#知识分享 #关注我持续更新小学知识 #家长收藏孩子受益.pdf
10.00金币
0下载
二年级数学下册解决问题专项训练二年级数学下册解决问题专项训练#专项训练#解决问题#二年级#二年级数学下册#知识分享.pdf
10.00金币
1下载
二年级数学下册还原问题二年级数学下册还原问题#二年级#二年级数学#关注我持续更新小学知识 #知识分享 #家长收藏孩子受益.pdf
10.00金币
1下载
二年级数学下册第六单元考试卷家长打印出来给孩子测试测试争取拿到高分!#小学二年级试卷分享 #二年级第六单考试数学 #第六单考试#二年级数学下册.pdf
10.00金币
0下载
二年级数学下册必背顺口溜口诀汇总二年级数学下册必背顺口溜口诀汇总#二年级#二年级数学下册 #知识分享 #家长收藏孩子受益 #关注我持续更新小学知识.pdf
10.00金币
0下载
二年级数学下册《重点难点思维题》两大问题解决技巧和方法巧算星期几解决周期问题还原问题强化思维训练老师精心整理家长可以打印出来给孩子练习#家长收藏孩子受益 #学霸秘籍 #思维训练 #二年级 #知识点总结.pdf
10.00金币
0下载
二年级数学下册 必背公式大全寒假提前背一背开学更轻松#二年级 #二年级数学 #二年级数学下册 #寒假充电计划 #公式.pdf
10.00金币
0下载
蜗牛文库+ 关注
实名认证
内容提供者

提供各种专业文档内容

确认删除?
QQ
  • QQ点击这里给我发消息
微信客服
  • 微信客服
回到顶部